Investigadores del <a href="https://www.cnic.es/" title="Centro Nacional de Investigaciones Cardiovasculares Carlos III" alt="Centro Nacional de Investigaciones Cardiovasculares Carlos III" target="_blank">Centro Nacional de Investigaciones Cardiovasculares Carlos III</a> (CNIC) identifican la importancia de la carga aterosclerótica global para identificar individuos con riesgo de enfermedad cardiovascular. Junto con los factores de riesgo tradicionales, la ecografía 3D vascular puede convertirse en una herramienta clave para la estratificación del riesgo cardiovascular de una persona.
La ecografía tridimensional vascular puede convertirse en una herramienta clave para identificar individuos con riesgo de enfermedad cardiovascular. Son las conclusiones del estudio PESA (Progression of Early Subclinical Atherosclerosis) CNIC-Santander, que se publica en The Journal of the American College of Cardiology (JACC), en el que se demuestra que la valoración de la carga de aterosclerosis global (la cantidad de colesterol acumulado en la pared de diferentes arterias del organismo) es, junto con los factores de riesgo tradicionales (colesterol, tensión arterial, diabetes, tabaco, ejercicio, obesidad), una herramienta muy valiosa para la estratificación del riesgo cardiovascular de una persona.

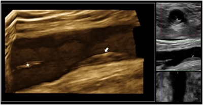
3D de la arteria carótida derecha donde se aprecia una pequeña protrusión en la pared del vaso que corresponde a una placa de aterosclerosis (flecha) en la rama inferior (interna) de la arteria carótida próxima a la zona del bulbo-bifurcación mientras que la rama superior (externa) está libre de enfermedad mostrando una superficie lisa (asterisco).
Los resultados de la investigación, dirigida por el Dr. Valentín Fuster, Director General del Centro Nacional de Investigaciones Cardiovasculares Carlos III (CNIC), muestran que, la carga global de aterosclerosis en las personas analizadas (edad media 45 años) es dos veces más alta en hombres que en mujeres (63,4 milímetros cúbicos frente a 25,7), y también más elevada en las arterias femorales que en otros territorios vasculares, y que aumenta con la edad.
Los investigadores del CNIC exploraron las regiones más significativas desde el punto de vista de la aterosclerosis de las arterias carótidas y femorales (un segmento arterial de unos 6cm de longitud centrado en el bulbo carotideo y en la bifurcación femoral) de forma bilateral y de manera tridimensional de 3.860 participantes de mediana edad y totalmente asintomáticos (sin antecedentes de infarto de miocardio, ictus cerebral, etc..) empleados del Banco de Santander en Madrid. El PESA-CNIC-Santander es un estudio prospectivo de cohortes en el que los participantes son seguidos a largo plazo. Las ecografías se realizaron utilizando un nuevo sistema de ultrasonido del socio tecnológico de CNIC (Phillips) equipado con una sonda lineal volumétrica que adquiere una imagen de las arterias y las placas de aterosclerosis en 3 dimensiones.
"La ecografía tridimensional vascular es una técnica de imagen factible, reproducible y novedosa para cuantificar de forma precoz la carga ateroesclerótica global en poblaciones grandes", afirma el Dr. Fuster, autor principal de la investigación que se publica en JACC. "Este nuevo método es válido para obtener una imagen de la carga de aterosclerosis periférica (carótidas y femorales) desde las etapas tempranas a las más avanzadas de la enfermedad, pudiéndose aplicar en la identificación de aquellos individuos con un mayor riesgo y así ofrecer tratamientos más dirigidos y monitorizarlos. Sin embargo, se necesitan más estudios para evaluar la utilidad este nuevo método que lo comparen con los métodos tradicionales cuando se utilizan en la práctica clínica y a gran escala, así como en estudios epidemiológicos poblacionales".
APLICACIÓN CLÍNICA
Aunque la aplicación clínica de esta tecnología se encuentra todavía en fase de investigación y desarrollo, ya hay una serie de áreas en las que ha demostrado ser clínicamente prometedora, incluyendo la cuantificación del volumen de la placa aterosclerótica. La cuantificación directa del volumen de aterosclerosis con ecografía vascular 3D es más precisa que las técnicas bidimensionales para estimar la carga de enfermedad aterosclerótica global de un individuo. "Esta nueva tecnología de visualización en 3D ha dado un nuevo enfoque al estudio de la aterosclerosis ofreciendo multitud de nuevas posibilidades. El 3D nos permite evaluar la extensión, severidad y características de las placas de aterosclerosis en las tres dimensiones del espacio, en tan solo unos segundos, obteniendo una información más completa y de forma más sencilla que la que hasta ahora obteníamos con los estudios 2D convencionales. Además, es una exploración que no necesita preparación, ni radia como otras técnicas de imagen que se han venido utilizado para el estudio de la aterosclerosis y el riesgo cardiovascular, lo que facilita la extensión de su uso a cualquier persona y establecer seguimientos más estrechos" afirma Beatriz López Melgar, investigadora del estudio PESA y cardióloga especialista en imagen cardiovascular.

3D de la arteria femoral derecha donde se aprecia una evidente infiltración y protrusión de la pared del vaso hacia la luz que corresponde a una placa de aterosclerosis (flecha) antes de la bifurcación en sus ramas superficial y profunda (asterisco). Esta placa ocasiona una ligera obstrucción del tamaño de la luz vascular (entorno al 20%), es homogénea en su composición y no presenta datos de complicaciones como ulceras o trombos en su superficie.
"Hasta este momento éramos capaces de predecir de forma grosera el riesgo de la población general de presentar un problema cardiovascular mayor (infarto o ictus) mediante el estudio de los factores de riesgo clásicos (niveles de colesterol, hipertensión, tabaquismo, etc.), sin embargo, a nivel individual esta predicción no es muy precisa. Con la visualización directa de la enfermedad (presencia de placas de aterosclerosis) y cuantificación de su extensión en el cuerpo seremos capaces de mejorar esta predicción. La presencia y extensión de enfermedad nos dice de forma directa como afectan los factores de riesgo a las arterias de cada individuo", explica Borja Ibáñez, Director de investigación Clínica de CNIC y cardiólogo en el Hospital Universitario Fundación Jiménez Díaz.
El estudio PESA se lleva a cabo en colaboración entre el CNIC y el Banco Santander, y en él participan más de 4.000 individuos con una edad media de 45 años. "En Banco Santander forma parte de nuestra estrategia, ser el mejor Banco para los empleados y para la sociedad, y los Servicios Médicos tenemos el mandato corporativo de Promocionar la Salud y Bienestar en el trabajo de nuestros empleados" afirma el Dr. José María Mendiguren, Director de Servicios Médicos de Banco Santander y autor del estudio "Esta nueva publicación de resultados del estudio PESA CNIC Santander en una revista médica de alto impacto, es un ejemplo de como la colaboración entre la empresa privada y las instituciones públicas representada en este caso por la Fundación Pro CNIC; con la participación del departamento de salud y PRL (Prevención de Riesgos Laborales) del Banco de Santander y de los investigadores de CNIC, proporciona datos valiosísimos de salud tanto para los empleados que participan altruistamente con un alto grado de satisfacción, como para la sociedad, en el conocimiento y detección precoz de esta enfermedad de tanta trascendencia como es la arteriosclerosis. Próximas publicaciones apoyarán más este concepto, y espero que animen a otras empresas e instituciones públicas a seguir en esta vía de colaboración que insisto, benefician a los participantes y a toda la sociedad."
El ambicioso proyecto utiliza la tecnología más moderna de diagnóstico vascular por imagen para intentar resolver algunas de las incógnitas que persisten sobre la patología cardiovascular, como cuándo y cómo empieza y qué ha de suceder para que se manifieste clínicamente. El proyecto, que se inició en 2010. La aterosclerosis es una enfermedad de lenta evolución que consiste en la acumulación de diversas sustancias, principalmente colesterol, en la pared de las arterias pudiendo llegar a ocasionar su obstrucción y que puede afectar a cualquier arteria del cuerpo.
Referencia bibliográfica:
López-Melgar, B., Fernández-Friera, L., Oliva, B., García-Ruiz, J. M., Peñalvo, J. L., Gómez-Talavera, S.,Fuster, V. (2017). Subclinical Atherosclerosis Burden by 3D Ultrasound in Mid-Life: The PESA Study. Journal of the American College of Cardiology, 70(3), 301-313. DOI:10.1016/j.jacc.2017.05.033