Haciendo visible lo invisible: identificación de fluidos corporales con la técnica de imagen hiperespectral

11.05.2017
Investigadores de la <a href="https://www.uah.es/es/" title="Universidad de Alcalá" target="_blank">Universidad de Alcalá</a> (UAH) identifican y discriminan, en casos de abusos sexuales, semen, orina y fluidos vaginales en tejidos de algodón con una técnica que combina fotografía y espectroscopía para obtener una imagen química de la muestra, facilitando la mejor localización para extraer ADN del agresor.

Las mitocondrias 'enseñan' al intestino a defenderse de la inflamación modulando su respuesta inmune

11.05.2017
La producción de especies reactivas de oxígeno asociada a la actividad mitocondrial propicia la respuesta inmune que protege al intestino frente a estímulos inflamatorios. Así lo han demostrado investigadores de la <a href="https://www.uam.es/uam/inicio?language=es" title="Universidad Autónoma de Madrid" alt="Universidad Autónoma de Madrid" target="”blank”">Universidad Autónoma de Madrid</a> (UAM) en un trabajo que abre una nueva vía para el tratamiento de las colitis y otras patologías inflamatorias.

Una revisión integral de la salud del océano Ártico

11.05.2017
El proyecto financiado con fondos europeos <a href="https://www.geotraces.org/news-50/news/116-news/1134-geotraces-arctic-expeditions-successfully-completed" target="blank">GEOTRACES-ARCTIC</a> indaga en los ciclos biogeoquímicos de los oligoelementos en el Ártico para dilucidar la resiliencia de este océano a los cambios a escala planetaria y prever su futuro.

Desvelan el secreto de la percepción visual de la velocidad

11.05.2017
Investigadores franceses han desvelado el misterio de cómo el cerebro elabora la percepción visual de la velocidad en escenas naturales complejas, como el desplazamiento de una bandada de pájaros. Lo hace creando patrones espacio-temporales a partir de la información visual, obviando detalles (como la velocidad de cada ave) para ofrecer una percepción coherente de un conjunto disperso y no determinista.

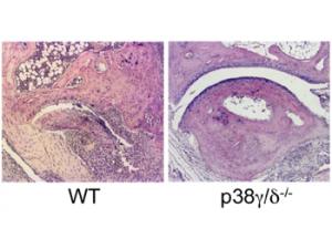
Dos proteínas con importantes funciones fisiológicas que hasta hoy habían pasado desapercibidas

11.05.2017
Durante años, p38γ y p38δ han sido dos grandes desconocidas que sólo recientemente han comenzado a captar la atención de los científicos. Investigadores del <a href="http://www.cnb.csic.es/index.php/en/science-society/news/item/1417-dos-proteinas-con-importantes-funciones-fisiologicas-que-hasta-hoy-habian-pasado-desapercibidas" title="Centro Nacional de Biotecnología del CSIC" alt="Centro Nacional de Biotecnología del CSIC" target="blank">Centro Nacional de Biotecnología</a> del CSIC (CNB-CSIC) investigan sobre estas proteínas y recopilan los últimos trabajos sobre ellas en un artículo publicado esta semana en la revista <a href="https://www.cell.com/trends/biochemical-sciences/fulltext/S0968-0004(17)30047-6" title="Trends in Biochemical Sciences" alt="Trends in Biochemical Sciences" target="blank">Trends in Biochemical Sciences</a>. Los autores ponen de relieve el papel de estas dos desconocidas en ciertas enfermedades y reivindican su potencial en el desarrollo de nuevos tratamientos.

Los cambios metabólicos marcaron el gigantismo en los depredadores

11.05.2017
Paleontólogos de la <a href="https://www.uv.es/" target="" alt="Universidad de Valencia">Universidad de Valencia</a> (UV) han propuesto una nueva hipótesis que explica las causas de la evolución del gigantismo en depredadores: los saltos metabólicos como consecuencia de factores internos y ambientales. El estudio se refiere a animales actuales, entre ellos el gran tiburón blanco o los cocodrilos, y a extintos como dinosaurios, reptiles marinos y voladores, entre otros.

La primera señal del alzhéimer, descubierta por la ciencia

10.05.2017
Un estudio de la <a href=" http://www.ed.ac.uk/ " title=" Universidad de Edimburgo " alt=" Universidad de Edimburgo ">Universidad de Edimburgo</a> concluye que la desorientación en edades anteriores a los sesenta años es un síntoma de poder desarrollar la enfermedad.