Una de cada tres personas en el mundo tiene obesidad o sobrepeso

13.06.2017
El 30% de la población mundial pesa más de lo que debería. Así concluye un nuevo estudio, publicado en <a href="https://www.nejm.org/doi/full/10.1056/NEJMoa1614362" title="The New England Journal of Medicine" alt="The New England Journal of Medicine" target="_blank">The New England Journal of Medicine</a>, que analiza los efectos de la obesidad y el sobrepeso en 195 países desde 1980 hasta 2015. En España, los datos indican que el 17,8% de los adultos -aproximadamente 7,1 millones de personas- y el 8% de los niños tienen sobrepeso.

El cerebro crea estructuras geométricas para tomar una decisión

13.06.2017
Las neuronas del cerebro forman estructuras geométricas multidimensionales para procesar información, que se deshacen súbitamente al tomar una decisión. Existen decenas de millones de cuerpos geométricos con 7 dimensiones en un pequeño segmento del cerebro y en algunas redes de neuronas estas estructuras geométricas tienen hasta 11 dimensiones, según un estudio.

Descubren cómo los mohos resisten a los antibióticos habituales

13.06.2017
Investigadores de la <a href="https://www.ehu.eus/es/content/-/asset_publisher/W6wn/content/20170609_investigacion-de-hongos-y-bacterias?redirect=http%253A%252F%252Fwww.ehu.eus%252Fes%252Fhome%253Fp_p_id%253D101_INSTANCE_TaD3%2526p_p_lifecycle%253D0%2526p_p_state%253Dnormal%2526p_p_mode%253Dview%2526p_p_col_id%253Dcolumn-2%2526p_p_col_pos%253D1%2526p_p_col_count%253D5" alt="Universidad del País Vasco" title="Universidad del País Vasco" target="blank">Universidad del País Vasco</a> (UPV/EHU) han descubierto el mecanismo de resistencia de los mohos a los antibióticos habituales, mohos que no afectan a la gran mayoría de la población pero son mortales en pacientes con el sistema inmunológico debilitado.

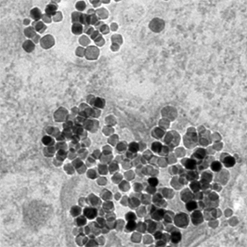
Agregados de nanopartículas para destruir células cancerosas

12.06.2017
Un equipo internacional del que forma parte un investigador de la <a href="https://www.upm.es/" target="_blank" title="Universidad Politécnica de Madrid">Universidad Politécnica de Madrid</a> (UPM) ha demostrado que es posible destruir mecánicamente células cancerosas haciendo rotar nanopartículas magnéticas que se unen a ellas en forma de agregados.

Imágenes de caras humanas recreadas con precisión observando la actividad neuronal de primates

12.06.2017
Un equipo de investigadores ha logrado reproducir con precisión imágenes de rostros observadas por macacos solo registrando la actividad de zonas concretas de su encéfalo. En su investigación mostraron fotografías de caras humanas a macacos y a continuación analizaron la respuesta de cerca de doscientas células de las regiones denominadas "sistema de zona de caras del macaco". Después utilizaron las señales para recrear la cara mostrada en la foto.

Rosetta descubre la relación de los cometas con la atmósfera de la Tierra

12.06.2017
Con la difícil detección por parte de <a href="https://www.esa.int/Science_Exploration/Space_Science/Rosetta" title="Rosetta" target="blank" alt="Rosetta">Rosetta</a> de varios isótopos de xenón en el cometa 67P/Churyumov-Gerasimenko, la misión de la <a href="https://www.esa.int/" title="Agencia Espacial Europea" target="blank" alt="Agencia Espacial Europea">Agencia Espacial Europea</a> (ESA, por sus siglas en inglés) ha establecido la primera relación cuantitativa entre los cometas y la atmósfera de la Tierra.