Un estudio cuestiona la acumulación de la industria lítica hallada en Olduvai

07.07.2017
El estudio, publicado en la revista <a href="https://onlinelibrary.wiley.com/doi/abs/10.1002/gea.21629" title="Geoarchaeology" alt="Geoarchaeology" target="_blank">Geoarchaeology</a>, sugiere que las acumulaciones de herramientas líticas encontradas en los yacimientos plio-pleistocenos de la Garganta de Olduvai, en Tanzania, muestran indicios de haber sido arrastradas y concentradas por corrientes de agua. Esto implica que no habrían sido generadas in situ por la actividad humana.

Algunos escarabajos regulan su temperatura corporal a través del exoesqueleto

07.07.2017
Investigadores del <a href="http://www.mncn.csic.es/" title="Museo Nacional de Ciencias Naturales" alt="Museo Nacional de Ciencias Naturales" target="_blank">Museo Nacional de Ciencias Naturales</a> (MNCN-CSIC) han analizado cómo los escarabajos utilizan su exoesqueleto para aprovechar la energía que transmiten los rayos del sol y la radiación infrarroja del entorno para así regular su temperatura corporal. Pese a su estructura aparentemente simple, esta cutícula es capaz de actuar pasivamente en el control térmico del animal sin que esto suponga ningún coste energético o metabólico. Las investigaciones han sido publicada en la revista <a href="https://www.journals.uchicago.edu/doi/full/10.1086/690200" title="Physiological and Biochemical Zoology" alt="Physiological and Biochemical Zoology" target="_blank">Physiological and Biochemical Zoology</a> y en la revista <a href="https://peerj.com/articles/3349/" title="PeerJ" alt="PeerJ" target="_blank">PeerJ</a>.

Un programa de rehabilitación mejora la movilidad de los brazos de pacientes con esclerosis múltiple en solo 8 semanas

07.07.2017
Científicos de la <a href="https://canal.ugr.es/noticia/rehabilitacion-esclerosis-multiple/" title="Universidad de Granada" alt="Universidad de Granada" target="blank">Universidad de Granada</a> (UGR) mejoran la función motora del miembro superior más afectado por la enfermedad, así como la destreza manual, la fuerza de prensión de la mano y la fuerza de la pinza, a través de un programa de intervención domiciliaria de 2 sesiones semanales de 60 minutos.

Nacimiento de la química ultrarrápida: la attoquímica

06.07.2017
Científicos españoles e italianos han formulado las bases de una nueva disciplina científica, la attoquímica. Esta permitirá generar reacciones y sustancias no imaginadas hasta la fecha y tendrá una incidencia directa en el desarrollo de nuevas sustancias y materiales.

¿Qué sabemos sobre el ritmo de la senectud?

06.07.2017
Algunos científicos predicen que el primer humano que llegará a cumplir 1.000 años ya ha nacido. Otros, sin llegar a afirmaciones tan provocadoras, afirman que la mayoría de los niños y niñas nacidos actualmente llegarán a soplar más de 100 velas. Lo cierto es que ninguna otra dinámica social ha mostrado tal constancia en su evolución a largo plazo, como lo ha hecho la longevidad. Durante el último siglo y medio, hemos ganado 6 horas de vida por cada día que sobrevivimos. En la España de 1900, la esperanza de vida de un recién nacido era de casi 35 años. En la actualidad hay que esperar a cumplir 50 años, para tener por delante la misma expectativa de vida de un recién nacido de entonces. Cabría preguntarse si, en términos de expectativas de vida, estamos envejeciendo o rejuveneciendo.

La fragmentación del hábitat provoca la extinción de los mamíferos

06.07.2017
La fragmentación del hábitat contribuye al riesgo de extinción de los mamíferos, y cuanto mayor sea ésta, tanto mayor es el peligro, según un estudio publicado en la revista especializada <a href="https://www.pnas.org/doi/abs/10.1073/pnas.1705769114" title="Proceedings of the National Academy of Sciences" alt="Proceedings of the National Academy of Sciences" target="_blank">Proceedings of the National Academy of Sciences</a> (PNAS).

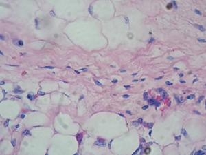
Identifican el papel de la proteína survivina en la expansión patológica del tejido adiposo

06.07.2017
Investigadores del <a href="https://www.ciberdem.org/" title="Centro de Investigación Biomédica en Red de Diabetes y Enfermedades Metabólicas Asociadas" alt="Centro de Investigación Biomédica en Red de Diabetes y Enfermedades Metabólicas Asociadas" target="_blank">Centro de Investigación Biomédica en Red de Diabetes y Enfermedades Metabólicas Asociadas</a> (CIBERDEM) y del <a href="http://www.iispv.cat/es_index.html" title="Instituto de Investigación Sanitaria Pere Virgili" alt="Instituto de Investigación Sanitaria Pere Virgili" target="_blank">Instituto de Investigación Sanitaria Pere Virgili</a> (IISPV), liderados por Joan Josep Vendrell y Sonia Fernández-Veledo, acaban de publicar en la revista <a href="https://www.nature.com/articles/cddis2017209a" title="Cell Death &amp; Disease" alt="Cell Death &amp; Disease" target="_blank">Cell Death &amp; Disease</a> un estudio en el que identifican por primera vez el papel de la survivina, una proteína clásicamente relacionada con la progresión del cáncer, en la expansión patológica del tejido adiposo.

Un robot autónomo para prever la producción vitícola

06.07.2017
Una tecnología capaz de predecir la producción sin intervención humana sería un sueño hecho realidad para los viticultores de toda Europa. Si todo va de acuerdo a lo esperado, esta tecnología estará disponible en menos de dos años.