Ensayo clínico internacional para conseguir una alternativa terapéutica a pacientes con meningioma que no responden a los tratamientos 09.07.2025 El Hospital público 12 de Octubre de la Comunidad de Madrid acaba de abrir en España un ensayo clínico internacional para tratar a los pacientes de meningioma recurrente que no hayan respondido a ningún tratamiento habitual
Microplásticos en la sal: el aderezo involuntario en nuestra cocina 09.07.2025 La producción de sal es una industria especialmente vulnerable a la contaminación por microplásticos, sobre todo cuando se trata de salinas de evaporación solar en el litoral
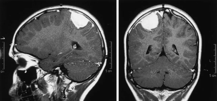
La estimulación del sistema inmune mejora el tratamiento con virus en modelos animales del tumor cerebral infantil más agresivo 09.07.2025 Investigadores del Cima confirman que la administración intratumoral del virus Delta-24-RGD y la activación de células dendríticas abren una vía terapéutica para los pacientes con glioma difuso de línea media
El lenguaje claro mejora la comprensión de textos administrativos 09.07.2025 Un experimento de la Universidad Autónoma de Madrid (UAM) y la Universidad Nacional de Educación a Distancia (UNED) demuestra que sustituir términos jurídicos complejos por sinónimos accesibles mejora la comprensión de los textos sin afectar significativamente el tiempo de lectura
Tres biomarcadores alertan de señales tempranas de alzhéimer en personas sanas 08.07.2025 Por primera vez se combinan tres marcadores no invasivos –dos en sangre y uno cerebral– en una población cognitivamente sana
Bioenvases alimentarios a partir de desperdicios de fresas 08.07.2025 Esta iniciativa creará un sistema circular, como el de un ecosistema, en el que todo se aprovechará
Crean un sistema para incrustar información digital invisible en documentos impresos 08.07.2025 Esta técnica abre la puerta a nuevos métodos de trazabilidad de productos, autentificación de documentos y enriquecimiento de contenido educativo o profesional
El océano se sofoca 08.07.2025 Una investigación reciente reveló que, entre 2015 y 2019, el Mediterráneo experimentó cinco años consecutivos de eventos de mortalidad masiva que afectaron miles de kilómetros de costa desde la superficie hasta 45 metros de profundidad
La inteligencia colectiva necesita algo más que tecnología 08.07.2025 Las herramientas digitales con inteligencia artificial no bastan por sí solas para impulsar redes de liderazgo colaborativo ante retos sociales complejos
Luz solar para luchar contra bacterias resistentes a antibióticos: ¿aliada o traidora? 07.07.2025 Investigadores de la Universidad Politécnica de Madrid y de la Universidad tunecina de Cartago han estudiado el desarrollo de bacterias resistentes a los antibióticos en suelos regados con aguas residuales y han intentado eliminarlas mediante tratamientos basados en la luz solar