Un salario a cambio de nuestros datos 19.02.2020 Un investigador de IMDEA Networks propone un revolucionario sistema económico basado en que los generadores de los datos cobren por cederlos a las compañías
Las energías renovables también son víctimas del cambio climático 19.02.2020 El proceso de integración de energía renovable será un gran desafío debido a las variaciones climáticas futuras del clima y los fenómenos extremos
Una abeja con polen y parásitos atrapada en ámbar hace 100 millones de año 19.02.2020 El hallazgo arroja nueva luz sobre los primeros días de estos insectos, un componente clave en la historia evolutiva
Método prometedor para detectar oxígeno en planetas cercanos que orbitan alrededor de estrellas como el Sol 19.02.2020 ¿Los telescopios espaciales pueden identificar con rapidez las condiciones atmosféricas de exoplanetas similares a la Tierra? Con una nueva técnica es posible
"El trasplante de corazones en parada cardiaca permitiría ampliar el número de donantes entre un 5 y un 10%" 19.02.2020 El Hospital Puerta de Hierro Majadahonda ha llevado a cabo un hito en la medicina española. Hablamos con la doctora Pérez y el doctor Rubio, parte del equipo que lo ha hecho posible
Esta área cerebral tiene una función especial en el estado de conciencia 19.02.2020 Investigadores de EE UU han conseguido estimular el tálamo lateral central de un macaco anestesiado y han encontrado vínculos entre esta región y la capacidad de experimentar sensaciones conscientes
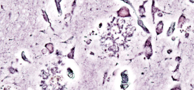
El número de personas con alzhéimer en Europa se duplicará en 2050 19.02.2020 En España, según el Informe de Alzheimer Europe, las personas con demencia representarán el 3,99% en 2050 en comparación con el 1,83% en 2018
La aridez extrema dañará ecosistemas donde viven 2.000 millones de personas 18.02.2020 El estudio se centra en los cambios ocasionados por el clima, pero actividades humanas como la agricultura o la ganadería también pueden interactuar con el cambio climático
Las infecciones por virus y bacterias provocan el 8% de las muertes por cáncer en España 18.02.2020 Un estudio calcula que los tumores causados por microorganismos matan a unas 9.000 personas al año