Skip to main content
Home
  • ESPAÑOL
  • ENGLISH
Main menu
  • Foundation
    • A place for education, science and innovation
    • Who we are
    • Newsroom
    • Awards madri+d
    • Publications madri+d
    • Contractor Portal
    • Compendio legislativo
    • Formación
    • Hackathon #VenceAlVirus
    • Consulta Previa al Mercado
    • Contacto
  • University Quality Assurance
    • To guarantee the quality of university education in the Community of Madrid
    • About us
    • Evaluation, Acreditation and Verification
    • Evaluación, Acreditación y Verificación de Centros Universitarios
    • Comité de garantías y reclamaciones
    • Buscador de títulos
    • Banco de evaluadores
    • ENQA Evaluation
    • Análisis Temático
    • CUALIFICAM
    • Sello Sofía
    • Buzón de Quejas, Sugerencias y Felicitaciones
  • Entrepreneurs
    • We help you to undertake from science and technology
    • About us
    • Startup Radar madri+d
    • BAN madri+d
    • Madri+d Mentoring Network
    • ESA BIC Madrid Region
    • healthStart madri+d
    • Business Mentor madri+d
    • Studies
    • healthstartPlus
    • Deeptech Madrid
    • Govtechlab Madrid
    • Innodays/Innobares
  • CITT
    • Clústeres público-privados de Innovación Tecnológica y Talento de la Comunidad de Madrid
    • Presentación CITT
    • CITT en Semiconductores
    • CITT en Humanidades Digitales y Tecnologías del Español
    • CITT en Tecnologías Biomédicas y Biotecnología
    • CITT en Tecnologías del Espacio
  • Europe
    • Researching locally to compete globally
    • Presentación
    • Horizonte Europa
    • Marie Sklodowska-Curie Actions
    • European Research Council
    • EIC
    • EEN SCALEUP 2025/2026
    • Enterprise Europe Network
    • Innovación
    • madri+d Foundation Projects
  • Scientific-Culture
    • Promoting scientific culture and innovation in society through active participation
    • Presentación
    • Feria Madrid es Ciencia
    • Día Internacional de las Mujeres y las Niñas en la Ciencia
    • Madrid Science Week
    • European Researchers' Night
    • Red de Laboratorios Ciudadanos
    • Wikipedia madri+d
    • Science & Culture
    • Science & Heritage
  • Impulso SMUCI
    • Oficina de Impulso del Sistema Madrileño de Universidades, Ciencia e Innovación (SMUCI)
    • Presentación Impulso SMUCI
    • UnInMadrid
    • Ciencia de excelencia
    • Unidad de apoyo a estudiantes universitarios e investigadores ucranianos
    • Cátedra del Español y la Hispanidad de las universidades de la Comunidad de Madrid
  • Notiweb
    • El resumen de noticias de I+D+I de referencia en español
    • Portada
    • Noticias
    • Analisis
    • Entrevistas
    • Blogs
    • Agenda
    • Reseñas
    • Magazine
    • Hemeroteca Magazine
    • Mentes Críticas
    • Hemeroteca Mentes Críticas
  • Transparency
    • Transparency portal
    • Institutional information
    • Legal Information
    • Economic and Statistical Information
    • Proteccion de Datos Personales
    • Canal Ético

Secondary breadcrumb

Breadcrumb

  1. Inicio
  2. Noticias
Main menu
Noticias RSS

Premio Fundación BBVA a los pioneros de la computación y la criptografía cuánticas

04.03.2020
El Premio Fundación BBVA Fronteras del Conocimiento en la categoría de Ciencias Básicas ha recaído en Charles Bennett, Gilles Brassard y Peter Shor por sus "contribuciones sobresalientes" a las áreas de la computación y la comunicación cuánticas

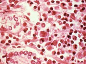
Proponen el silenciamiento de una enzima como nuevo enfoque terapéutico para el tratamiento de la enfermedad del hígado graso no alcohólico

04.03.2020
La obesidad es una pandemia que supone un factor de riesgo para la enfermedad del hígado graso no alcohólico, dolencia con una prevalencia global estimada de alrededor del 25%, con más de mil millones de personas afectadas en todo el mundo

El cambio climático modificará la distribución y abundancia de las plantas boreales comunes

04.03.2020
Las especies del sur de Finlandia podrían ser abundantes en regiones donde antes eran raras, mientras que las especies del norte podrían ver reducidas sus poblaciones por la falta de regiones más al norte donde escapar del calentamiento

Los loros gamberros que saben calcular probabilidades para sacar tajada

04.03.2020
Los keas, conocidos por su espíritu burlón, sorprenden a los científicos en unos experimentos por su inteligencia matemática, social y visual

Aparece en la Antártida una isla desconocida

04.03.2020
Descubierta por investigadores que navegaban por la bahía de Pine Island, su existencia tiene grandes implicaciones científicas

La rapamicina tiene efectos perjudiciales cuando los telómeros son cortos

04.03.2020
El equipo de María Blasco en el CNIO muestran cómo el tratamiento con rapamicina, una estrategia antienvejecimiento que alarga la vida en ratones normales, es dañina cuando los animales poseen telómeros cortos en sus cromosomas

La mitad de las playas de arena del planeta, amenazadas por el cambio climático

03.03.2020
La erosión y la subida del nivel del mar arrebatarán hasta 100 metros a los arenales costeros en 30 años

La Fundación para el Conocimiento madri+d reconoce a las iniciativas tecnológicas más innovadoras del sector sanitario de la Comunidad de Madrid

03.03.2020
Mañana se celebra la cuarta edición de los Premios healthstart madri+d, el programa de impulso del emprendimiento en entornos sanitarios de investigación

Revelan el mecanismo molecular de una enzima clave en la microbiota intestinal

03.03.2020
La investigación contribuirá al desarrollo y diseño de enzimas de interés biotecnológico

Nanorrobots con ADN magnético para reparar el daño dorsal

03.03.2020
El químico español Salvador Pané i Vidal rediseña la estructura de los materiales ferromagnéticos para guiar su camino por el interior del cuerpo

Pagination

  • First page « primera
  • Previous page ‹ anterior
  • …
  • Page 668
  • Page 669
  • Page 670
  • Page 671
  • Current page 672
  • Page 673
  • Page 674
  • Page 675
  • Page 676
  • …
  • Next page siguiente ›
  • Last page última »
Resultados del 6711 al 6720 de 13184
  • Foundation
    • Who we are
    • Newsroom
    • Awards madri+d
    • Publications madri+d
    • Contractor Portal
    • Compendio legislativo
    • Formación
    • Hackathon #VenceAlVirus
    • Consulta Previa al Mercado
    • Contacto
  • University Quality Assurance
    • About us
    • Evaluation, Acreditation and Verification
    • Evaluación, Acreditación y Verificación de Centros Universitarios
    • Comité de garantías y reclamaciones
    • Buscador de títulos
    • Banco de evaluadores
    • ENQA Evaluation
    • Análisis Temático
    • CUALIFICAM
    • Sello Sofía
    • Buzón de Quejas, Sugerencias y Felicitaciones
  • Entrepreneurs
    • About us
    • Startup Radar madri+d
    • BAN madri+d
    • Madri+d Mentoring Network
    • ESA BIC Madrid Region
    • healthStart madri+d
    • Business Mentor madri+d
    • Studies
    • healthstartPlus
    • Deeptech Madrid
    • Govtechlab Madrid
    • Innodays/Innobares
  • CITT
    • Presentación CITT
    • CITT en Semiconductores
    • CITT en Humanidades Digitales y Tecnologías del Español
    • CITT en Tecnologías Biomédicas y Biotecnología
    • CITT en Tecnologías del Espacio
  • Europe
    • Presentación
    • Horizonte Europa
    • Marie Sklodowska-Curie Actions
    • European Research Council
    • EIC
    • Enterprise Europe Network
    • EEN SCALEUP 2025/2026
    • Innovación
    • madri+d Foundation Projects
  • Scientific-Culture
    • Presentación
    • Feria Madrid es Ciencia
    • Día Internacional de las Mujeres y las Niñas en la Ciencia
    • Madrid Science Week
    • European Researchers' Night
    • Red de Laboratorios Ciudadanos
    • Wikipedia madri+d
    • Science & Culture
    • Science & Heritage
  • Impulso SMUCI
    • Presentación Impulso SMUCI
    • UnInMadrid
    • Ciencia de excelencia
    • Unidad de apoyo a estudiantes universitarios e investigadores ucranianos
    • Cátedra del Español y la Hispanidad de las universidades de la Comunidad de Madrid
  • Notiweb
    • Portada
    • Noticias
    • Analisis
    • Entrevistas
    • Blogs
    • Agenda
    • Reseñas
    • Magazine
    • Hemeroteca Magazine
    • Mentes Críticas
    • Hemeroteca Mentes Críticas
  • Transparency
    • Institutional information
    • Legal Information
    • Economic and Statistical Information
    • Proteccion de Datos Personales
    • Canal Ético
  • Footer
    • Canal Ético
    • eduroam
    • Mapa Web
    • Política privacidad
    • Política de cookies
    • Aviso legal