Los depredadores también seleccionan sus presas en función de su aporte nutricional 18.06.2020 Es la primera vez que han tenido en cuenta la dificultad para obtener una presa al explicar las estrategias para alimentarse
Una pila de fase para tecnologías cuánticas 18.06.2020 Esta pila, que consiste en un nano cable de arseniuro de indio (InAs) en contacto con cables superconductores de aluminio, constituye un elemento clave para las tecnologías cuánticas basadas en la coherencia de fase
Un modelo de embrión humano muestra una fase nunca observada de la vida 18.06.2020 Investigadores europeos desarrollan una forma de estudiar la evolución del feto más allá del límite legal de los 14 días
Una de cada cinco personas sufriría un covid-19 severo si se infectara 18.06.2020 El autor señala que un 4% de la población mundial -349 millones de 7.800 millones de personas- necesitaría ser hospitalizado si contrajese el virus
“La mayor parte de la investigación contra la COVID-19 es pública: la vacuna debería ser universal” 18.06.2020 Las medidas de distancia social serán imprescindibles hasta la disponibilidad masiva de una vacuna contra el coronavirus
La Comunidad de Madrid destina 12 millones de euros para realizar proyectos sinérgicos de I+D 18.06.2020 Mediante esta convocatoria autorizada por el Consejo de Gobierno regional se financia el desarrollo de proyectos de carácter disruptivo y sinérgico en nuevas y emergentes áreas científicas, de naturaleza interdisciplinar
Género y ciencia frente al coronavirus 18.06.2020 La Unidad de Mujeres y Ciencia analiza el impacto del COVID-19 en la igualdad de género en la I+D+I y presenta un conjunto de recomendaciones
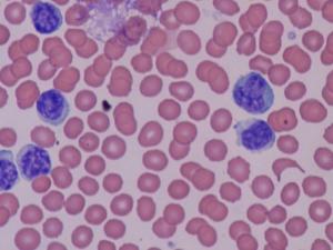
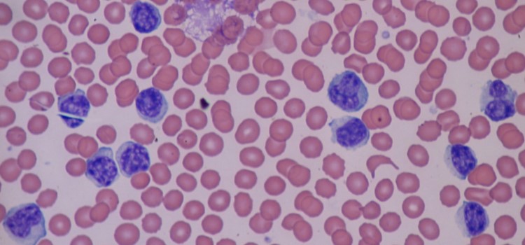
Identificado el papel del receptor CCR5 en la formación de anticuerpos y memoria inmune tras la vacunación 17.06.2020 El receptor de quimioquinas CCR5 participa en la movilidad de leucocitos y también actúa como co-receptor de la infección por VIH
Lecciones para la pandemia del hombre que ayudó a erradicar un virus en mula 17.06.2020 El octogenario virólogo Rafael Nájera, veterano de la campaña de la polio de 1963, se recupera tras sufrir la covid-19 y perder a su esposa
Detectan la línea verde del oxígeno en la atmósfera de Marte por primera vez 17.06.2020 Este fenómeno ofrece información sobre la composición y dinámica de la atmósfera del planeta rojo y su interacción con la radiación solar