Skip to main content
Home
  • ESPAÑOL
  • ENGLISH
Main menu
  • Foundation
    • A place for education, science and innovation
    • Who we are
    • Newsroom
    • Awards madri+d
    • Publications madri+d
    • Contractor Portal
    • Compendio legislativo
    • Formación
    • Hackathon #VenceAlVirus
    • Consulta Previa al Mercado
    • Contacto
  • University Quality Assurance
    • To guarantee the quality of university education in the Community of Madrid
    • About us
    • Evaluation, Acreditation and Verification
    • Evaluación, Acreditación y Verificación de Centros Universitarios
    • Comité de garantías y reclamaciones
    • Buscador de títulos
    • Banco de evaluadores
    • ENQA Evaluation
    • Análisis Temático
    • CUALIFICAM
    • Sello Sofía
    • Buzón de Quejas, Sugerencias y Felicitaciones
  • Entrepreneurs
    • We help you to undertake from science and technology
    • About us
    • Startup Radar madri+d
    • BAN madri+d
    • Madri+d Mentoring Network
    • ESA BIC Madrid Region
    • healthStart madri+d
    • Business Mentor madri+d
    • Studies
    • healthstartPlus
    • Deeptech Madrid
    • Govtechlab Madrid
    • Innodays/Innobares
  • CITT
    • Clústeres público-privados de Innovación Tecnológica y Talento de la Comunidad de Madrid
    • Presentación CITT
    • CITT en Semiconductores
    • CITT en Humanidades Digitales y Tecnologías del Español
    • CITT en Tecnologías Biomédicas y Biotecnología
    • CITT en Tecnologías del Espacio
  • Europe
    • Researching locally to compete globally
    • Presentación
    • Horizonte Europa
    • Marie Sklodowska-Curie Actions
    • European Research Council
    • EIC
    • EEN SCALEUP 2025/2026
    • Enterprise Europe Network
    • Innovación
    • madri+d Foundation Projects
  • Scientific-Culture
    • Promoting scientific culture and innovation in society through active participation
    • Presentación
    • Feria Madrid es Ciencia
    • Día Internacional de las Mujeres y las Niñas en la Ciencia
    • Madrid Science Week
    • European Researchers' Night
    • Red de Laboratorios Ciudadanos
    • Wikipedia madri+d
    • Science & Culture
    • Science & Heritage
  • Impulso SMUCI
    • Oficina de Impulso del Sistema Madrileño de Universidades, Ciencia e Innovación (SMUCI)
    • Presentación Impulso SMUCI
    • UnInMadrid
    • Ciencia de excelencia
    • Unidad de apoyo a estudiantes universitarios e investigadores ucranianos
    • Cátedra del Español y la Hispanidad de las universidades de la Comunidad de Madrid
  • Notiweb
    • El resumen de noticias de I+D+I de referencia en español
    • Portada
    • Noticias
    • Analisis
    • Entrevistas
    • Blogs
    • Agenda
    • Reseñas
    • Magazine
    • Hemeroteca Magazine
    • Mentes Críticas
    • Hemeroteca Mentes Críticas
  • Transparency
    • Transparency portal
    • Institutional information
    • Legal Information
    • Economic and Statistical Information
    • Proteccion de Datos Personales
    • Canal Ético

Secondary breadcrumb

Breadcrumb

  1. Inicio
  2. Noticias
Main menu
Noticias RSS

Investigadores hacen crecer nanopartículas de oro en tumores para acabar con ellos

17.09.2020
Mediante una nueva técnica, desarrollan nanopartículas de oro en las células cancerosas y lo queman para acabar con el cáncer

Así puede ser el final del Sistema Solar

17.09.2020
Encuentran por primera vez un planeta intacto orbitando una enana blanca, un cadáver de estrella como el que dejará el Sol cuando agote su combustible

Los vikingos tenían genes del sur de Europa y muchos eran castaños

17.09.2020
Nuevos hallazgos sugieren que en el pasado hubo un "flujo genético por Europa" mayor del que se pensaba hasta ahora

Un nuevo estudio explica por qué es tan difícil encontrar huellas de vida en las arcillas marcianas

16.09.2020
La superficie y subsuperficie de Marte no son los lugares ideales para la preservación de compuestos orgánicos que puedan retener información sobre posibles formas vivas pretéritas

Abierta la convocatoria 2020 de los Premios Fermina Orduña a la Innovación Tecnológica

16.09.2020
La Comunidad de Madrid contribuye así a promover la cultura de la innovación tecnológica en la sociedad y su participación activa basada en la comunicación y divulgación de la tecnología

Se ha resuelto el misterio del almacenamiento de las baterías de iones de litio

16.09.2020
Un equipo internacional de investigación está ayudando a desbloquear la disponibilidad de baterías con mayor capacidad de energía

Descubren una planta que produce dos tipos de flores radicalmente diferentes en invierno y verano

16.09.2020
Los investigadores han desvelado que este fenómeno ocurre porque el calor modifica la expresión de sus genes

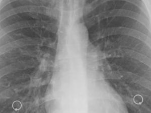
La COVID-19 afecta distintos tipos celulares del sistema inmunitario según el grado de severidad

16.09.2020
En pacientes COVID-19 críticos ocurre una reducción de células dendríticas CD1c y de monocitos inflamatorios, mientras que en pacientes leves se produce un aumento de monocitos transicionales en sangre

“La aparición de rebrotes era inevitable, pero deberíamos haber evitado la transmisión comunitaria”

16.09.2020
Santiago Moreno, jefe de Enfermedades Infecciosas del Hospital Ramón y Cajal de Madrid hace balance de los aciertos y errores en la gestión de la pandemia

Cambiar nuestra alimentación, un factor clave para salvar la biodiversidad

16.09.2020
La única forma de evitar la desaparición de más especies a partir del año 2050 pasaría por transformar la industria de la alimentación para que sea menos dependiente de productos animales

Pagination

  • First page « primera
  • Previous page ‹ anterior
  • …
  • Page 561
  • Page 562
  • Page 563
  • Page 564
  • Current page 565
  • Page 566
  • Page 567
  • Page 568
  • Page 569
  • …
  • Next page siguiente ›
  • Last page última »
Resultados del 5641 al 5650 de 13184
  • Foundation
    • Who we are
    • Newsroom
    • Awards madri+d
    • Publications madri+d
    • Contractor Portal
    • Compendio legislativo
    • Formación
    • Hackathon #VenceAlVirus
    • Consulta Previa al Mercado
    • Contacto
  • University Quality Assurance
    • About us
    • Evaluation, Acreditation and Verification
    • Evaluación, Acreditación y Verificación de Centros Universitarios
    • Comité de garantías y reclamaciones
    • Buscador de títulos
    • Banco de evaluadores
    • ENQA Evaluation
    • Análisis Temático
    • CUALIFICAM
    • Sello Sofía
    • Buzón de Quejas, Sugerencias y Felicitaciones
  • Entrepreneurs
    • About us
    • Startup Radar madri+d
    • BAN madri+d
    • Madri+d Mentoring Network
    • ESA BIC Madrid Region
    • healthStart madri+d
    • Business Mentor madri+d
    • Studies
    • healthstartPlus
    • Deeptech Madrid
    • Govtechlab Madrid
    • Innodays/Innobares
  • CITT
    • Presentación CITT
    • CITT en Semiconductores
    • CITT en Humanidades Digitales y Tecnologías del Español
    • CITT en Tecnologías Biomédicas y Biotecnología
    • CITT en Tecnologías del Espacio
  • Europe
    • Presentación
    • Horizonte Europa
    • Marie Sklodowska-Curie Actions
    • European Research Council
    • EIC
    • Enterprise Europe Network
    • EEN SCALEUP 2025/2026
    • Innovación
    • madri+d Foundation Projects
  • Scientific-Culture
    • Presentación
    • Feria Madrid es Ciencia
    • Día Internacional de las Mujeres y las Niñas en la Ciencia
    • Madrid Science Week
    • European Researchers' Night
    • Red de Laboratorios Ciudadanos
    • Wikipedia madri+d
    • Science & Culture
    • Science & Heritage
  • Impulso SMUCI
    • Presentación Impulso SMUCI
    • UnInMadrid
    • Ciencia de excelencia
    • Unidad de apoyo a estudiantes universitarios e investigadores ucranianos
    • Cátedra del Español y la Hispanidad de las universidades de la Comunidad de Madrid
  • Notiweb
    • Portada
    • Noticias
    • Analisis
    • Entrevistas
    • Blogs
    • Agenda
    • Reseñas
    • Magazine
    • Hemeroteca Magazine
    • Mentes Críticas
    • Hemeroteca Mentes Críticas
  • Transparency
    • Institutional information
    • Legal Information
    • Economic and Statistical Information
    • Proteccion de Datos Personales
    • Canal Ético
  • Footer
    • Canal Ético
    • eduroam
    • Mapa Web
    • Política privacidad
    • Política de cookies
    • Aviso legal