La memoria de Blas Cabrera 03.11.2022 Los nietos del científico canario y un catedrático de la Universidad Politécnica de Madrid se disputan su legado
Retrasar la acción 03.11.2022 En una época en la que negar el calentamiento global se vuelve cada vez más difícil, los oponentes de la acción climática se apuntan al “retardismo”
Bajo tierra 03.11.2022 A 85 metros de profundidad, la ciudad turca de Derinkuyu tuvo capacidad para alojar a decenas de miles de personas
El laboratorio egipcio 03.11.2022 La expedición militar de Napoléon a finales del siglo XVIII desplegó también un gran número de científicos en el país africano
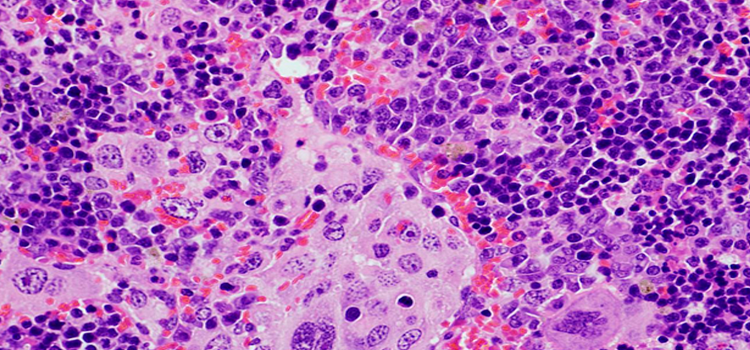
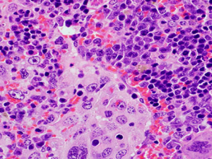
VAV1 03.11.2022 Un grupo de investigación del Consejo Superior de Investigaciones Científicas describe una nueva mutación asociada a linfomas y cáncer de pulmón
Dónde cultivar los alimentos para aumentar su producción 03.11.2022 El principal objetivo de este estudio ha sido identificar si estas especies podrían cultivarse en otros lugares para optimizar las cosechas
¿Podemos predecir la evolución de los virus? 03.11.2022 Las enfermedades causadas por virus, independientemente de la gravedad de sus síntomas, tienen una enorme dificultad para ser erradicadas
El caso único de una mujer que ha sobrevivido a 12 tumores puede ayudar a mejorar el diagnóstico del cáncer 03.11.2022 Los resultados de la investigación desvelan que este caso único se debe a una mutación genética que nunca se había observado en humanos
Mapean el ‘paisaje sináptico’ de un núcleo cognitivo del tálamo 03.11.2022 Los resultados pueden ayudar a esclarecer la fisiología y fisiopatología de la percepción, la cognición, el movimiento voluntario y la memoria
Un embarazo activo en el entorno hospitalario 02.11.2022 Diversos organismos internacionales, recomiendan a la mujer gestante un mínimo de 150 minutos semanales de actividad física moderada