Skip to main content
Home
  • ESPAÑOL
  • ENGLISH
Main menu
  • Foundation
    • A place for education, science and innovation
    • Who we are
    • Newsroom
    • Awards madri+d
    • Publications madri+d
    • Contractor Portal
    • Compendio legislativo
    • Formación
    • Hackathon #VenceAlVirus
    • Consulta Previa al Mercado
    • Contacto
  • University Quality Assurance
    • To guarantee the quality of university education in the Community of Madrid
    • About us
    • Evaluation, Acreditation and Verification
    • Evaluación, Acreditación y Verificación de Centros Universitarios
    • Comité de garantías y reclamaciones
    • Buscador de títulos
    • Banco de evaluadores
    • ENQA Evaluation
    • Análisis Temático
    • CUALIFICAM
    • Sello Sofía
    • Buzón de Quejas, Sugerencias y Felicitaciones
  • Entrepreneurs
    • We help you to undertake from science and technology
    • About us
    • Startup Radar madri+d
    • BAN madri+d
    • Madri+d Mentoring Network
    • ESA BIC Madrid Region
    • healthStart madri+d
    • Business Mentor madri+d
    • Studies
    • healthstartPlus
    • Deeptech Madrid
    • Govtechlab Madrid
    • Innodays/Innobares
  • CITT
    • Clústeres público-privados de Innovación Tecnológica y Talento de la Comunidad de Madrid
    • Presentación CITT
    • CITT en Semiconductores
    • CITT en Humanidades Digitales y Tecnologías del Español
    • CITT en Tecnologías Biomédicas y Biotecnología
    • CITT en Tecnologías del Espacio
  • Europe
    • Researching locally to compete globally
    • Presentación
    • Horizonte Europa
    • Marie Sklodowska-Curie Actions
    • European Research Council
    • EIC
    • EEN SCALEUP 2025/2026
    • Enterprise Europe Network
    • Innovación
    • madri+d Foundation Projects
  • Scientific-Culture
    • Promoting scientific culture and innovation in society through active participation
    • Presentación
    • Feria Madrid es Ciencia
    • Día Internacional de las Mujeres y las Niñas en la Ciencia
    • Madrid Science Week
    • European Researchers' Night
    • Red de Laboratorios Ciudadanos
    • Wikipedia madri+d
    • Science & Culture
    • Science & Heritage
  • Impulso SMUCI
    • Oficina de Impulso del Sistema Madrileño de Universidades, Ciencia e Innovación (SMUCI)
    • Presentación Impulso SMUCI
    • UnInMadrid
    • Ciencia de excelencia
    • Unidad de apoyo a estudiantes universitarios e investigadores ucranianos
    • Cátedra del Español y la Hispanidad de las universidades de la Comunidad de Madrid
  • Notiweb
    • El resumen de noticias de I+D+I de referencia en español
    • Portada
    • Noticias
    • Analisis
    • Entrevistas
    • Blogs
    • Agenda
    • Reseñas
    • Magazine
    • Hemeroteca Magazine
    • Mentes Críticas
    • Hemeroteca Mentes Críticas
  • Transparency
    • Transparency portal
    • Institutional information
    • Legal Information
    • Economic and Statistical Information
    • Proteccion de Datos Personales
    • Canal Ético

Secondary breadcrumb

Breadcrumb

  1. Inicio
  2. Noticias
Main menu
Noticias RSS
noti1

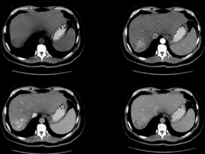
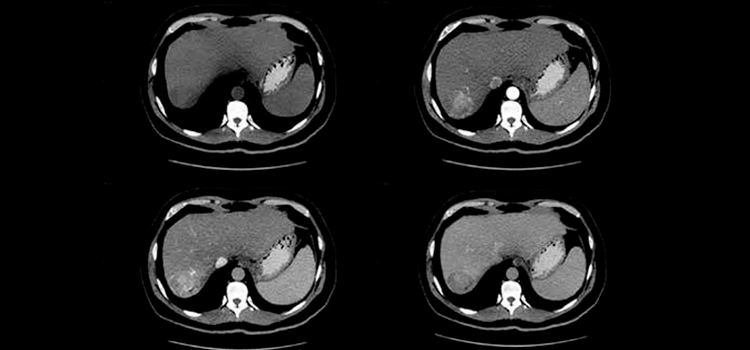
Nuevas vías terapéuticas para afrontar la progresión del carcinoma hepático

11.04.2024
Este estudio pionero revela mecanismos moleculares previamente no descubiertos que son fundamentales en la progresión del tejido hepático sano al carcinoma hepatocelular (CHC), la forma más común de cáncer primario de hígado
noti2

El parentesco biológico no era un requisito para enterrar juntos a los individuos hace 5000 años

11.04.2024
La investigación, liderada por la Universidad Complutense, ha estudiado las relaciones de parentesco de 58 individuos inhumados en la submeseta norte de la península ibérica
noti3

La unidad de Modelización Atmosférica del CIEMAT publica dos estudios sobre calidad del aire en las ciudades españolas

11.04.2024
Estas investigaciones ayudan a mejorar nuestras ciudades mediante el desarrollo de metodologías para evaluar la contaminación atmosférica urbana a alta resolución y estimar el impacto de las medidas de mejora en la calidad del aire
noti4

Proyecto europeo para prevenir el cáncer y contribuir a su diagnóstico precoz en personas sin hogar

11.04.2024
Para conseguirlo, el proyecto ha desarrollado una innovadora metodología, el Health Navigator Model, una especie de “hermano mayor” que está al servicio del paciente y que ayuda a promover su acceso a los servicios de prevención
noti5

Preservar una salud global para protegernos de enfermedades zoonóticas, emergentes y reemergentes

11.04.2024
Distintos grupos de investigación estudian numerosos patógenos infecciosos de interés para la salud global
Noti1

Un fármaco descubierto como protector renal obtiene resultados prometedores en glaucoma

10.04.2024
Una investigación liderada por la Universidad Complutense de Madrid (UCM) y el Hospital Gregorio Marañón ha probado, por primera vez en ratones con glaucoma, que la cilastatina tiene un efecto neuroprotector y antiinflamatorio
Noti2

Un nuevo micromaterial libera nanopartículas que destruyen selectivamente las células cancerosas

10.04.2024
Los investigadores han desarrollado unos micromateriales compuestos únicamente de proteínas, que son capaces de liberar, de manera prolongada en el tiempo, nanopartículas que pueden dirigirse a células cancerosas específicas y destruirlas
Noti3

Descubren la implicación de linajes paralelos de células madre en la creación de neuronas

10.04.2024
Este hallazgo supone un gran paso hacía un mayor conocimiento del proceso de creación de neuronas, que se conoce como neurogénesis
Noti4

Analizan el papel de los polinizadores en la evolución de flores con varias formas sexuales

10.04.2024
Los investigadores han demostrado que las teorías de Darwin sobre la polinización precisa en plantas heterostilas se cumplen a gran escala
Noti5

Identifican nuevos linajes de parásitos sanguíneos exclusivos de aves que habitan en entornos urbanos

10.04.2024
Los resultados del estudio han revelado que algunos parásitos del género Plasmodium, responsables de la malaria aviar, son más diversos en la ciudad que en el campo, presentando algunos linajes que sólo se encuentran en aves de ciudades europeas

Pagination

  • First page « primera
  • Previous page ‹ anterior
  • …
  • Page 133
  • Page 134
  • Page 135
  • Page 136
  • Current page 137
  • Page 138
  • Page 139
  • Page 140
  • Page 141
  • …
  • Next page siguiente ›
  • Last page última »
Resultados del 1361 al 1370 de 13184
  • Foundation
    • Who we are
    • Newsroom
    • Awards madri+d
    • Publications madri+d
    • Contractor Portal
    • Compendio legislativo
    • Formación
    • Hackathon #VenceAlVirus
    • Consulta Previa al Mercado
    • Contacto
  • University Quality Assurance
    • About us
    • Evaluation, Acreditation and Verification
    • Evaluación, Acreditación y Verificación de Centros Universitarios
    • Comité de garantías y reclamaciones
    • Buscador de títulos
    • Banco de evaluadores
    • ENQA Evaluation
    • Análisis Temático
    • CUALIFICAM
    • Sello Sofía
    • Buzón de Quejas, Sugerencias y Felicitaciones
  • Entrepreneurs
    • About us
    • Startup Radar madri+d
    • BAN madri+d
    • Madri+d Mentoring Network
    • ESA BIC Madrid Region
    • healthStart madri+d
    • Business Mentor madri+d
    • Studies
    • healthstartPlus
    • Deeptech Madrid
    • Govtechlab Madrid
    • Innodays/Innobares
  • CITT
    • Presentación CITT
    • CITT en Semiconductores
    • CITT en Humanidades Digitales y Tecnologías del Español
    • CITT en Tecnologías Biomédicas y Biotecnología
    • CITT en Tecnologías del Espacio
  • Europe
    • Presentación
    • Horizonte Europa
    • Marie Sklodowska-Curie Actions
    • European Research Council
    • EIC
    • Enterprise Europe Network
    • EEN SCALEUP 2025/2026
    • Innovación
    • madri+d Foundation Projects
  • Scientific-Culture
    • Presentación
    • Feria Madrid es Ciencia
    • Día Internacional de las Mujeres y las Niñas en la Ciencia
    • Madrid Science Week
    • European Researchers' Night
    • Red de Laboratorios Ciudadanos
    • Wikipedia madri+d
    • Science & Culture
    • Science & Heritage
  • Impulso SMUCI
    • Presentación Impulso SMUCI
    • UnInMadrid
    • Ciencia de excelencia
    • Unidad de apoyo a estudiantes universitarios e investigadores ucranianos
    • Cátedra del Español y la Hispanidad de las universidades de la Comunidad de Madrid
  • Notiweb
    • Portada
    • Noticias
    • Analisis
    • Entrevistas
    • Blogs
    • Agenda
    • Reseñas
    • Magazine
    • Hemeroteca Magazine
    • Mentes Críticas
    • Hemeroteca Mentes Críticas
  • Transparency
    • Institutional information
    • Legal Information
    • Economic and Statistical Information
    • Proteccion de Datos Personales
    • Canal Ético
  • Footer
    • Canal Ético
    • eduroam
    • Mapa Web
    • Política privacidad
    • Política de cookies
    • Aviso legal