Pharos, el robot que ayuda a los mayores a hacer ejercicio

20.11.2018
Un robot interactivo llamado Pharos quiere ayudar a las personas mayores en sus actividades físicas en el hogar y pretende convertirse en "un compañero más" de este colectivo, un asistente virtual, amigable y de fácil uso que promueva su vida sana y favorezca el envejecimiento activo.

¿Se puede medir la personalidad?

19.11.2018
Un equipo internacional de científicos ha conseguido desarrollar un nuevo método que permite evaluar la inteligencia y la personalidad analizando datos neurofisiológicos del cerebro humano.

El emprendimiento femenino como alternativa al techo de cristal

19.11.2018
Hoy 19 de noviembre se conmemora el Día Internacional de las Mujeres Emprendedoras, instaurado por Naciones Unidas en 2014 con el objetivo de sensibilizar a la sociedad sobre los obstáculos con los que todavía deben enfrentarse las mujeres a la hora de emprender.

Logran revertir una discapacidad sensorial en ratones con autismo

19.11.2018
Usando una técnica genética que permite activar o desactivar a ciertas neuronas en el cerebro, unos científicos han revertido una deficiencia sensorial en ratones con síntomas del autismo, lo cual les ha permitido aprender una tarea sensorial tan rápido como ratones sanos.

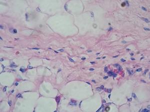
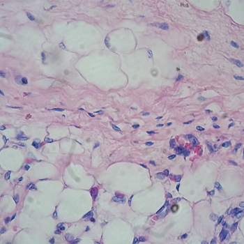
Identifican uno de los mecanismos por los cuales la obesidad altera el funcionamiento de los adipocitos

19.11.2018
Investigadores de CIBERDEM y del Institut d’Investigació Sanitària Pere Virgili (IISPV) apuntan a cambios epigenéticos y al aumento del factor de transcripción TBX15 en las células precursoras de los adipocitos como uno de los desencadenantes del comportamiento anormal de las células grasas. La investigación, liderada por Joan Vendrell y Sonia Fernández-Veledo ha sido publicada en International Journal of Obesity