Nanoterapia: la liberación controlada de quimioterapéuticos para combatir células madre cancerosas 10.09.2019 Investigan la eficiencia de los nanoclusters de oro como portadores de fármacos contra las células cancerosas
La Noche de l@s muy jóvenes investigadores 10.09.2019 La Universidad Autónoma de Madrid te invita a visitar 14 stands y a participar en las diferentes actividades que mostrarán diversos campos de estudio muy próximos a la infancia y juventud que estudian sus investigadores
“La carrera científica te permite participar en el avance del conocimiento de la sociedad” 10.09.2019 Entrevista a Anabel Perdices investigadora del Museo Nacional de Ciencias Naturales (MNCN-CSIC) de Madrid, con motivo de su participación en la próxima edición de la Noche Europea de los Investigadores de Madrid
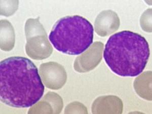
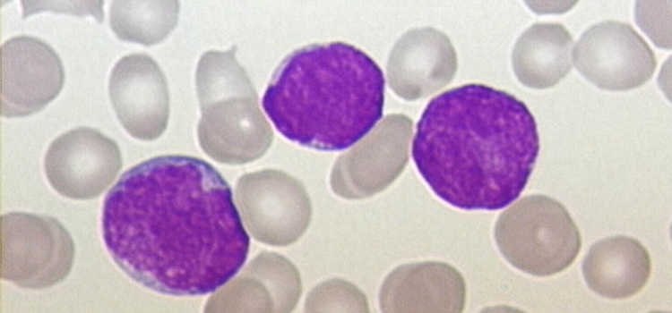
Descifran las claves de la predisposición genética a la leucemia 10.09.2019 Investigadores españoles han liderado un trabajo que describe las bases moleculares de la predisposición genética a la leucemia
¡Ya conocemos a los galardonados con los Premios de Investigación de la Comunidad de Madrid Julián Marías y Miguel Catalán 2019! 10.09.2019 La Comunidad premia la trayectoria de los investigadores María Pilar García Mouton y José López Carrascosa y galardona a las jóvenes investigadoras Laura Nuño De La Rosa García y María Victoria Llorens Martín
Mejoras en el tratamiento del párkinson gracias a la estimulación cerebral bajo demanda 09.09.2019 Investigadores de la Universidad Politécnica de Madrid, en colaboración con otras universidades, implementan un sistema experto para aliviar la sintomatología asociada al párkinson
Los pueblos de las estepas llevaron las lenguas indoeuropeas al sur de Asia hace unos 3.500 años 09.09.2019 El mayor estudio genómico antiguo realizado hasta la fecha arroja luz sobre las rutas de dispersión de la familia de lenguas más grande del mundo
Sin evidencia de que la testosterona reduzca la empatía cognitiva 09.09.2019 Desde hace años, la testosterona es la principal sospechosa del mayor número de casos de autismo en varones que en mujeres
Identifican biomarcadores útiles para el diagnóstico de la fibromialgia 09.09.2019 Un estudio español refuerza la idea de que la fibromialgia en una enfermedad real que presenta diferencias a nivel molecular
¿Cómo ha cambiado el mundo? La clave: La Energía y sus avances científicos 09.09.2019 En un momento de la historia en que el cuidado del planeta se hace imprescindible, la lucha por el cambio del modelo energético actual protagoniza la propuesta del Instituto IMDEA Energía para la Noche de los Investigadores de Madrid