Los ojos del universo 20.10.2019 El observatorio de Calar Alto ha descubierto varios exoplanetas en su primer año 100% español
El impacto de los antiguos mayas en el medio ambiente fue mayor de lo que se creía 19.10.2019 Ante el aumento de la población y las presiones ambientales, las sociedades mayas respondieron convirtiendo los bosques tropicales en complejos campos de humedales con canales para gestionar la calidad y cantidad de agua
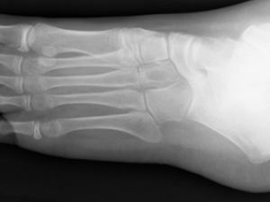
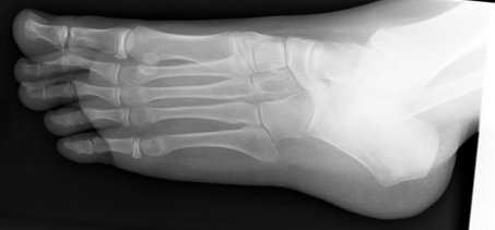
Un método predice la rigidez de los huesos regenerados tras una fractura 18.10.2019 Un equipo formado por investigadores de las universidades de Huelva y Sevilla ha desarrollado un procedimiento que analiza la recuperación de roturas óseas para conocer mejor las características del nuevo tejido que se forma
Un estudio da a conocer el molde natural del cerebro neandertal de Gánovce 18.10.2019 La anatomía cerebral de este individuo presenta rasgos típicamente neandertales, con lóbulos parietales pequeños y achatados, lóbulos occipitales pronunciados, y lóbulos frontales muy anchos
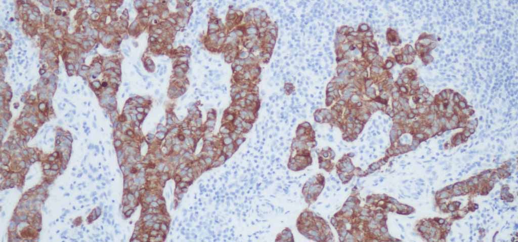
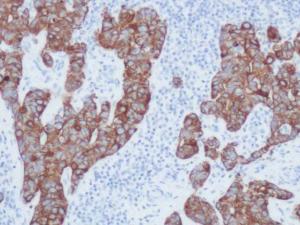
Investigadores avanzan en una mayor precisión pronóstica de la metástasis del cáncer de mama 18.10.2019 Estos resultados tienen gran trascendencia clínica, ya que podrían reducir la incertidumbre sobre el posible desarrollo de metástasis tras la cirugía de cáncer de mama
¿En qué zonas las personas perderán, para 2050, los vitales beneficios que aporta la naturaleza? 18.10.2019 Desarrollan un mapa interactivo global que muestra las contribuciones de los ecosistemas a medida que estos se degradan
Un nuevo teorema simplifica la teoría de colas 18.10.2019 Matemáticos rusos han simplificado la solución de problemas en el seno de la teoría de colas: han desarrollado un teorema que permite modular más fácilmente los procesos informáticos e industriales