Tuberculosis: también se puede contagiar en estado de latencia 08.11.2019 Los resultados de un estudio español tienen especial relevancia en países de alta incidencia donde la transmisión de la enfermedad todavía constituye una de las mayores fuentes de nuevos casos de tuberculosis
Tener un cerebro grande puede acelerar la formación de nuevas especies 08.11.2019 Cuando el ambiente cambia se generan retos nuevos que sólo algunas especies son capaces de resolver para sobrevivir. Un cerebro grande ofrece una mayor capacidad de modificar el comportamiento y su forma de vida
Margarita, mi madre de Madrid 08.11.2019 Margarita Salas ha fallecido, pero no desfalleció nunca a la hora de reivindicar los medios para poder hacer Ciencia básica
Cómo los simios comenzaron a caminar: brazos para colgarse de los árboles y “piernas” como las humanas 08.11.2019 Los fósiles del espécimen, encontrado en Alemania, arroja luz sobre cómo podrían haber sido los simios antes de ser bípedos, según el estudio publicado en “Nature”
Las medidas de la expansión del universo no cuadran 08.11.2019 Los físicos utilizan dos tipos de medidas para calcular la velocidad de expansión del universo, pero sus resultados no coinciden, un asunto que puede obligar a retocar el modelo cosmológico
El 20% de la población sufre dolor crónico pero, ¿por qué las mujeres padecen más que los hombres? 08.11.2019 Un estudio muestra que mujeres mayores sufren dolor intenso con más frecuencia que los hombres. La prevalencia del dolor crónico aumenta con la edad, afectando al 60% de las personas mayores
El Instituto de Investigación de La Princesa participa en la XIX edición de la Semana de la Ciencia y la Innovación de Madrid 08.11.2019 Por séptimo año, el IIS La Princesa se suma a esta iniciativa organizando 15 talleres relacionados con los distintos servicios del Hospital
Aforo completo en la primera sesión del programa Formativo de Invierno en Programas Europeos y Transferencia de Tecnología 08.11.2019 El Área de Transferencia de Tecnología y Programas Europeos de madri+d inaugura su programa formativo de invierno con el Seminario de Aspectos financieros en el programa H2020 apostando por la gestión financiera de proyectos europeos
Descubren cómo frenar el envejecimiento prematuro de pacientes inmunodeficientes 07.11.2019 Descubierto un posible tratamiento para frenar el envejecimiento prematuro sufrido por los pacientes con inmunodeficiencias congénitas y adquiridas como el sida, reproduciendo el modelo en peces cebra
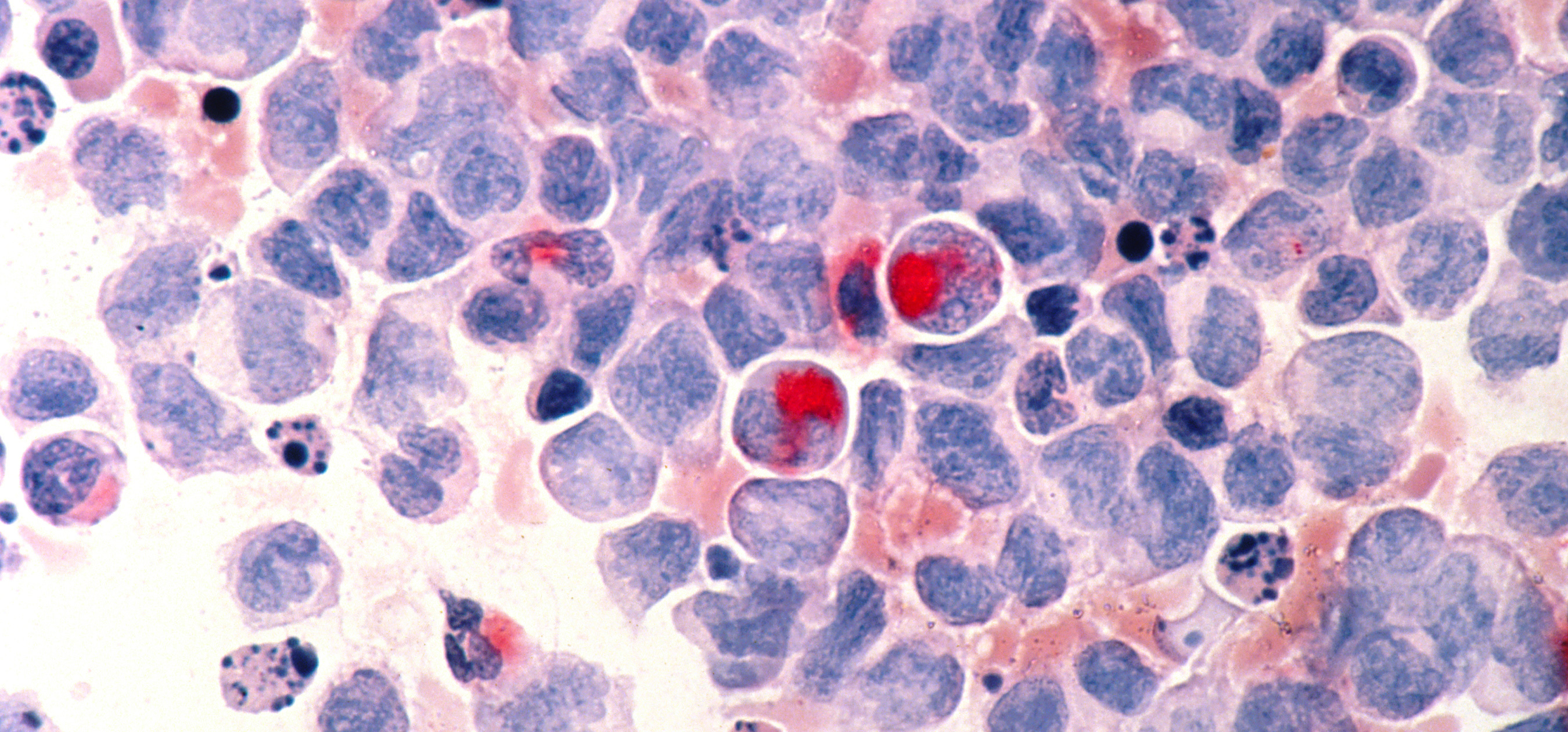
Descubren por qué la leucemia se ceba con los niños 07.11.2019 Las células fetales inmaduras serían más sensibles a ciertas mutaciones genéticas, lo que abre nuevos caminos para dar con tratamientos más efectivos