Una rápida velocidad de colisión entre placas tectónicas hace que se hundan 02.01.2020 La litosfera es la capa rígida más externa de la Tierra que comprende la corteza y la parte superior del manto y forma las diferentes placas tectónicas que cubren la superficie terrestre
Las especies marinas huirán del cambio climático migrando hacia aguas más profundas 02.01.2020 Estas son algunas de las principales conclusiones de un estudio que calcula la migración vertical que requerirían desplazarse las especies marinas a través de los océanos globales
Un estudio logra usar luz láser para manipular electrones de forma ultrarrápida 02.01.2020 Este logro abre la puerta a acelerar la velocidad de procesamiento de datos y transformar la futura computación
Los dientes de denisovanos y asiáticos actuales no son iguales 02.01.2020 Un estudio rebate que la morfología particular de los molares de algunos grupos asiáticos se deba a la hibridación de sus ancestros con los denisovanos, una población humana extinta que coexistió con el Homo sapiens y con los neandertales
El agua es común, aunque escasa, en los exoplanetas 02.01.2020 Se están viendo los primeros signos de perfiles químicos en mundos extraterrestres, y puede apreciarse cuán diversos pueden ser en cuanto a sus composiciones químicas
El 'airbag' que protege a las células frente al estrés 02.01.2020 Entender el proceso de protección celular frente al estrés mecánico permite comprender mejor las bases moleculares de enfermedades como algunos tipos de distrofias musculares, cardiopatías o patologías pulmonares o vasculares
El cerebro nos impide ver la fuerza de los argumentos que nos contradicen 02.01.2020 Los científicos observan un área cerebral que podría influir en que hagamos oídos sordos a otras opiniones
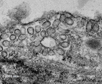
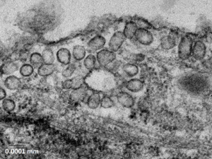
Desarrollan un dispositivo para capturar e identificar virus 02.01.2020 Los virólogos estiman que 1,67 millones de virus desconocidos se encuentran en animales, algunos de los cuales pueden transmitirse a los humanos
Creación de una industria de la energía solar que utilice más eficientemente los recursos 02.01.2020 Expertos financiados con fondos europeos están desarrollando modelos de negocio circulares para que los sistemas fotovoltaicos resulten beneficiosos para el medio ambiente, la economía y los usuarios
El 'mapa del tesoro' de Marte que señala dónde deberían aterrizar los astronautas 30.12.2019 Localizar las mejores zonas con hielo en el Planeta Rojo facilitará la extracción de agua para los astronautas, tanto para su consumo como para el combustible del cohete