Skip to main content
Home
  • ESPAÑOL
  • ENGLISH
Main menu
  • Foundation
    • A place for education, science and innovation
    • Who we are
    • Newsroom
    • Awards madri+d
    • Publications madri+d
    • Contractor Portal
    • Compendio legislativo
    • Formación
    • Hackathon #VenceAlVirus
    • Consulta Previa al Mercado
    • Contacto
  • University Quality Assurance
    • To guarantee the quality of university education in the Community of Madrid
    • About us
    • Evaluation, Acreditation and Verification
    • Evaluación, Acreditación y Verificación de Centros Universitarios
    • Comité de garantías y reclamaciones
    • Buscador de títulos
    • Banco de evaluadores
    • ENQA Evaluation
    • Análisis Temático
    • CUALIFICAM
    • Sello Sofía
    • Buzón de Quejas, Sugerencias y Felicitaciones
  • Entrepreneurs
    • We help you to undertake from science and technology
    • About us
    • Startup Radar madri+d
    • BAN madri+d
    • Madri+d Mentoring Network
    • ESA BIC Madrid Region
    • healthStart madri+d
    • Business Mentor madri+d
    • Studies
    • healthstartPlus
    • Deeptech Madrid
    • Govtechlab Madrid
    • Innodays/Innobares
  • CITT
    • Clústeres público-privados de Innovación Tecnológica y Talento de la Comunidad de Madrid
    • Presentación CITT
    • CITT en Semiconductores
    • CITT en Humanidades Digitales y Tecnologías del Español
    • CITT en Tecnologías Biomédicas y Biotecnología
    • CITT en Tecnologías del Espacio
  • Europe
    • Researching locally to compete globally
    • Presentación
    • Horizonte Europa
    • Marie Sklodowska-Curie Actions
    • European Research Council
    • EIC
    • EEN SCALEUP 2025/2026
    • Enterprise Europe Network
    • Innovación
    • madri+d Foundation Projects
  • Scientific-Culture
    • Promoting scientific culture and innovation in society through active participation
    • Presentación
    • Feria Madrid es Ciencia
    • Día Internacional de las Mujeres y las Niñas en la Ciencia
    • Madrid Science Week
    • European Researchers' Night
    • Red de Laboratorios Ciudadanos
    • Wikipedia madri+d
    • Science & Culture
    • Science & Heritage
  • Impulso SMUCI
    • Oficina de Impulso del Sistema Madrileño de Universidades, Ciencia e Innovación (SMUCI)
    • Presentación Impulso SMUCI
    • UnInMadrid
    • Ciencia de excelencia
    • Unidad de apoyo a estudiantes universitarios e investigadores ucranianos
    • Cátedra del Español y la Hispanidad de las universidades de la Comunidad de Madrid
  • Notiweb
    • El resumen de noticias de I+D+I de referencia en español
    • Portada
    • Noticias
    • Analisis
    • Entrevistas
    • Blogs
    • Agenda
    • Reseñas
    • Magazine
    • Hemeroteca Magazine
    • Mentes Críticas
    • Hemeroteca Mentes Críticas
  • Transparency
    • Transparency portal
    • Institutional information
    • Legal Information
    • Economic and Statistical Information
    • Proteccion de Datos Personales
    • Canal Ético

Secondary breadcrumb

Breadcrumb

  1. Inicio
  2. Noticias
Main menu
Noticias RSS

IMDEA Materiales lidera un proyecto europeo de 2,6 millones de euros para producir luz blanca a partir de bacterias

05.02.2020
Los investigadores se proponen diseñar proteínas fluorescentes como las de los animales marinos para sustituir los actuales filtros de los LEDs

Un estudio confirma la alta concentración de CO2 de origen humano en masas de agua mediterráneas

04.02.2020
El trabajo señala además que el Atlántico es “muy vulnerable” a la acidificación, producida por el descenso gradual del pH debido al aumento de la absorción de CO2

Un nuevo método permitirá estudiar mejor los agujeros negros

04.02.2020
Un nuevo método permitirá estudiar los agujeros negros en sí mismos y los fenómenos que se encuentran en sus proximidades, como como el movimiento de partículas, su singularidad gravitacional o su estabilidad

Elaboran un método que permitirá estudiar la estructura de las moléculas

04.02.2020
El trabajo permitirá aplicar los métodos numéricos a los modelos de transición de muchos fotones, posibilitando modelar el cambio de propiedades de enlaces químicos bajo el impacto de campos de láser intensivos

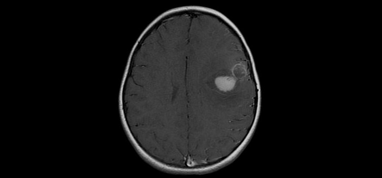
El sistema inmunitario contribuye a la capacidad invasora de los tumores cerebrales

04.02.2020
Un nuevo estudio expone de qué manera el sistema inmunitario facilita que las células tumorales se expandan por el cerebro

El sufrimiento encoge el cerebro de los niños para siempre

04.02.2020
Pequeños rescatados de los orfanatos de la Rumanía del dictador Ceausescu muestran alteraciones cerebrales décadas después

Un estudio descubre ADN neandertal en poblaciones africanas

04.02.2020
Los investigadores determinaron que la ascendencia neandertal en los africanos fue introducida por migraciones de poblaciones antiguas euroasiáticas que regresaron a África

La contaminación lumínica amenaza con la extinción de las luciérnagas

04.02.2020
Interrumpe los biorritmos naturales y arruina sus rituales de apareamiento

María Blasco: "La inmunoterapia está ayudando a curar tumores que eran incurables"

04.02.2020
Entrevista a la Directora Científica del Centro Nacional de Investigaciones Oncológicas (CNIO) con motivo del Día Mundial Contra el Cáncer

Desarrollan un método rápido y eficaz en la búsqueda de fármacos para combatir el virus de ZIKA

04.02.2020
El método basado en colorantes fluorescentes para medir in vitro y en tiempo real la capacidad de multiplicación del virus de ZIKA en presencia de moléculas con potencial antiviral

Pagination

  • First page « primera
  • Previous page ‹ anterior
  • …
  • Page 688
  • Page 689
  • Page 690
  • Page 691
  • Current page 692
  • Page 693
  • Page 694
  • Page 695
  • Page 696
  • …
  • Next page siguiente ›
  • Last page última »
Resultados del 6911 al 6920 de 13184
  • Foundation
    • Who we are
    • Newsroom
    • Awards madri+d
    • Publications madri+d
    • Contractor Portal
    • Compendio legislativo
    • Formación
    • Hackathon #VenceAlVirus
    • Consulta Previa al Mercado
    • Contacto
  • University Quality Assurance
    • About us
    • Evaluation, Acreditation and Verification
    • Evaluación, Acreditación y Verificación de Centros Universitarios
    • Comité de garantías y reclamaciones
    • Buscador de títulos
    • Banco de evaluadores
    • ENQA Evaluation
    • Análisis Temático
    • CUALIFICAM
    • Sello Sofía
    • Buzón de Quejas, Sugerencias y Felicitaciones
  • Entrepreneurs
    • About us
    • Startup Radar madri+d
    • BAN madri+d
    • Madri+d Mentoring Network
    • ESA BIC Madrid Region
    • healthStart madri+d
    • Business Mentor madri+d
    • Studies
    • healthstartPlus
    • Deeptech Madrid
    • Govtechlab Madrid
    • Innodays/Innobares
  • CITT
    • Presentación CITT
    • CITT en Semiconductores
    • CITT en Humanidades Digitales y Tecnologías del Español
    • CITT en Tecnologías Biomédicas y Biotecnología
    • CITT en Tecnologías del Espacio
  • Europe
    • Presentación
    • Horizonte Europa
    • Marie Sklodowska-Curie Actions
    • European Research Council
    • EIC
    • Enterprise Europe Network
    • EEN SCALEUP 2025/2026
    • Innovación
    • madri+d Foundation Projects
  • Scientific-Culture
    • Presentación
    • Feria Madrid es Ciencia
    • Día Internacional de las Mujeres y las Niñas en la Ciencia
    • Madrid Science Week
    • European Researchers' Night
    • Red de Laboratorios Ciudadanos
    • Wikipedia madri+d
    • Science & Culture
    • Science & Heritage
  • Impulso SMUCI
    • Presentación Impulso SMUCI
    • UnInMadrid
    • Ciencia de excelencia
    • Unidad de apoyo a estudiantes universitarios e investigadores ucranianos
    • Cátedra del Español y la Hispanidad de las universidades de la Comunidad de Madrid
  • Notiweb
    • Portada
    • Noticias
    • Analisis
    • Entrevistas
    • Blogs
    • Agenda
    • Reseñas
    • Magazine
    • Hemeroteca Magazine
    • Mentes Críticas
    • Hemeroteca Mentes Críticas
  • Transparency
    • Institutional information
    • Legal Information
    • Economic and Statistical Information
    • Proteccion de Datos Personales
    • Canal Ético
  • Footer
    • Canal Ético
    • eduroam
    • Mapa Web
    • Política privacidad
    • Política de cookies
    • Aviso legal