Una pieza más en el puzzle metabólico de la hormona jasmonato 05.01.2018 Esta hormona interviene en muchos procesos de desarrollo, resistencia a patógenos y a situaciones de estrés en plantas.
El secreto del mimetismo de la mariposa de cola de golondrina 05.01.2018 Científicos de la <a href="https://www.uchicago.edu/" title="Universidad de Chicago" alt="Universidad de Chicago" target="_blank">Universidad de Chicago</a> (EE.UU.) han descubierto el gen que ha ayudado a la hembra de la mariposa de cola de golondrina a desarrollar su capacidad de mimetismo.
Identifican por primera vez cómo la toxina del Parkinson causa la muerte neuronal 05.01.2018 Por primera vez, un estudio científico ha logrado identificar las razones y los mecanismos por los que la toxina involucrada en la enfermedad de Parkinson causa la muerte de neuronas.
El secreto está en la masa 05.01.2018 El descubrimiento de una inusualmente alta cantidad de estrellas masivas en la región de formación estelar 30 Doradus de la vecina Gran Nube de Magallanes arroja nueva luz en el entendimiento del universo primitivo y permite establecer cómo pudo evolucionar desde las épocas oscuras hasta el universo que vemos en la actualidad.
Los mayores con corazones más débiles tienen mayor riesgo de alzhéimer 05.01.2018 El flujo sanguíneo que llega a las regiones cerebrales en las que se desarrolla el alzhéimer es menor en las personas mayores cuyos corazones bombean menos sangre.
Se desarrolla una biblioteca de historias galácticas a partir del movimiento de sus estrellas 05.01.2018 Del mismo modo que el Sol se mueve alrededor del centro de nuestra Galaxia, la Vía Láctea, todas las estrellas en las diferentes galaxias se mueven en órbitas: algunas muestran rotaciones muy rígidas, en tanto que otras pueden moverse más aleatoriamente sin una rotación clara.
Una 'app' para localizar a personas desaparecidas en zonas sin cobertura 05.01.2018 El sistema puede servir también en situaciones de emergencias derivadas de terremotos, inundaciones e incendios forestales, donde las infraestructuras de telefonía móvil en muchas ocasiones quedan inutilizadas.
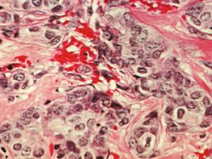
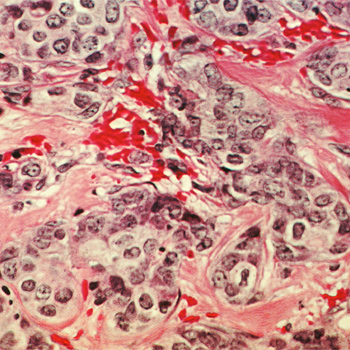
El cáncer de mama puede permanecer latente durante 15 años después de un tratamiento exitoso 04.01.2018 Las mujeres con tumores grandes tienen un riesgo de reincidir de un cuarenta por ciento.
Adiós a los coches en 2050 04.01.2018 El motor de combustión, su ruido y su polución, la gasolina, el carné de conducir, los taxistas o hasta la idea de tener un vehículo, símbolos de lo que ya no habrá.
Comer de noche, malo para el corazón y la diabetes 04.01.2018 Comer durante la noche se asocia con un mayor riesgo de enfermedad cardiaca y diabetes, y el ciclo de 24 horas del cuerpo es el culpable, según revela una investigación cuyos resultados se publican en <a href="https://doi.org/10.1113/EP086026" title="Experimental Fisiology" alt="Experimental Fisiology" target="_blank">Experimental Fisiology</a> , informa <em>Europa Press</em>.