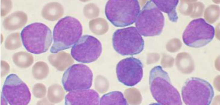
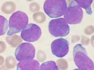
Descubierto el mecanismo de acción de un nuevo fármaco frente la leucemia mieloide aguda

02.04.2018
Científicos del <a href="https://www.cruk.manchester.ac.uk/" title="Cancer Research UK Manchester Institute" alt="Cancer Research UK Manchester Institute" target="_blank">Cancer Research UK Manchester Institute</a> (CRUK-MI, Reino Unido) descubren que el mecanismo de actuación del fármaco inhibidor de la demetilasa LSD1 es independiente a su actividad catalítica.

Una roca procedente de un asteroide genera una gran bola de fuego en el sur de España

02.04.2018
El <a href="https://fundacionastrohita.org/" title="Complejo Astronómico La Hita" alt="Complejo Astronómico La Hita" target="_blank">Complejo Astronómico La Hita</a> (Toledo) detectó en la madrugada del domingo una roca procedente de un asteroide que generó una gran bola de fuego que se pudo observar, sobre todo, en la zona sur y el centro de España y que hizo pensar que podía ser la estación china.

Arqueólogos españoles desvelan los secretos de la antigua ciudad de Tiro

02.04.2018
Con la ayuda de un equipo español de arqueólogos, Tiro, la ciudad fundada por los fenicios en el sur del Líbano actual hace unos tres mil años, va desvelando algunas de las joyas arquitectónicas que se levantaron en este lugar. Vestigios de una esplendorosa ciudad que acabó destruida por griegos, romanos y bizantinos, primero, y por un terremoto, después.

Explicamos las teorías científicas a través de las principales obras del Museo de El Prado

02.04.2018
Explicar la teoría de la energía y de las materias oscuras de Stephen Hawking a través de las las Pinturas Negras de Goya o la teoría de la relatividad de Albert Einstein mediante la Anunciación de Fra Angélico y El Lavatorio de Tintoretto, son solo algunos de los ejemplos que componen el libro <em>Diálogos en El Prado</em> sobre ciencia y arte, editado por la Comunidad, a través de un modo novedoso y sencillo, con un planteamiento riguroso y divulgativo.

Crean un coche inteligente que lee las señales cerebrales del conductor

01.04.2018
Un sistema capaz de leer las señales cerebrales de un conductor y de transmitirlas a un vehículo en marcha ha sido desarrollado por investigadores suizos y aplicado con éxito a un prototipo de automóvil. El sistema aprovecha la ventaja de 200-500 milisegundos que tarda la señal del cerebro en llegar a convertirse en movimiento para optimizar la conducción.