Descubren las herramientas neandertales de madera más antiguas de la península ibérica

04.04.2018
El <a href="https://www.cenieh.es/es" title="Centro Nacional de Investigación sobre la Evolución Humana" alt="Centro Nacional de Investigación sobre la Evolución Humana" target="_blank">Centro Nacional de Investigación sobre la Evolución Humana</a> (CENIEH) lidera un artículo que acaba de publicarse en la revista <a href="https://journals.plos.org/plosone/article?id=10.1371/journal.pone.0195044" title="PLOS ONE" alt="PLOS ONE" target="_blank">PLOS ONE</a> sobre el yacimiento vizcaíno de Aranbaltza donde se ha encontrado utillaje de madera neandertal datado mediante el método de la Luminiscencia en 90.000 años de antigüedad.

Un centenar de expertos debatirán en Madrid sobre iniciativas de comunicación social de la ciencia y participación ciudadana los días 17 y 18 de mayo

04.04.2018
La <a href="http://www.madrimasd.org/" title="Fundación para el Conocimiento madri+d">Fundación para el Conocimiento madri+d</a> junto con la Asociación para el Compromiso Social con la Ciencia, <a href="http://eusea.info/annual-conference/" target="_blank" title="EUSEA">EUSEA</a> en sus siglas en inglés, organizan la <a href="http://www.madrimasd.org/cultura-cientifica/eusea-annual-conference/eusea-annual-conference-registration" title="Conferencia Anual de EUSEA">Conferencia Anual de EUSEA</a> los próximos días 17 y 18 de mayo.&#13;

La ciencia española recibirá 1.200 millones del Banco Europeo de Inversiones

04.04.2018
El <a href="https://european-union.europa.eu/institutions-law-budget/institutions-and-bodies/institutions-and-bodies-profiles/eib_en" title="Banco Europeo de Inversiones" alt="Banco Europeo de Inversiones" target="_blank">Banco Europeo de Inversiones</a> (BEI) financiará con 1.200 millones de euros proyectos españoles de investigación, desarrollo e innovación (I+D+i).

Una misión de la ESA para estudiar las descargas eléctricas en la alta atmósfera

04.04.2018
Investigadores del <a href="https://www.csic.es/es" title="Consejo Superior de Investigaciones Científicas" alt="Consejo Superior de Investigaciones Científicas" target="_blank">Consejo Superior de Investigaciones Científicas</a> (CSIC) colaboran en el análisis de los datos de la misión y mediante el apoyo desde tierra con instrumentos propios.&#13;

Un gen que nos hace más propensos a desarrollar alzhéimer

04.04.2018
El mayor estudio mundial de neuroimagen, liderado por la <a href="https://fpmaragall.org/" title="Fundación Pasqual Maragall" alt="Fundación Pasqual Maragall" target="_blank">Fundación Pasqual Maragall</a> y elaborado entre 533 personas, ha descubierto alteraciones en la estructura del cerebro en personas sanas que son portadoras de un gen que las hace más propensas a desarrollar la enfermedad de Alzheimer.

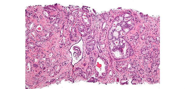
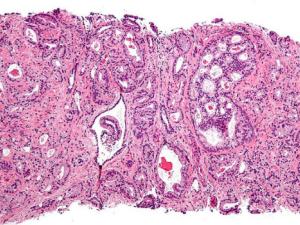
El uso del biomarcador p2PSA en un modelo predictivo de cáncer de próstata podría reducir el número de biopsias

04.04.2018
Investigadores del <a href="https://www.comunidad.madrid/hospital/principeasturias/" title="Hospital Universitario Príncipe de Asturias" alt="Hospital Universitario Príncipe de Asturias" target="_blank">Hospital Universitario Príncipe de Asturias</a> y de la <a href="https://www.uah.es/es/" title="Universidad de Alcalá" alt="Universidad de Alcalá" target="_blank">Universidad de Alcalá</a> (UAH) analizan y validan la utilidad clínica de un modelo predictivo de cáncer de próstata que incorpora el biomarcador "(-2) proantígeno prostático específico" a través del índice de salud prostática (PHI) en la toma de decisión para realizar una biopsia de próstata.