La Asociación Europea para el Compromiso Social de la Ciencia y la Fundación madri+d firman un Convenio de colaboración para la Conferencia Internacional EUSEA, 2018

19.04.2018
La sede de la <a href="http://www.madrimasd.org" title="Fundación para el Conocimiento madri+d" alt="Fundación para el Conocimiento madri+d">Fundación para el Conocimiento madri+d</a> ha sido testigo en la mañana de ayer de la firma del Convenio de colaboración para la celebración de la <a href="https://www.madrimasd.org/cultura-cientifica/eusea-annual-conference" title="Conferencia Internacional EUSEA">Conferencia Internacional EUSEA</a>, 2018 que se celebrará en Madrid los días 17 y 18 de mayo.

La Fundación madri+d ser reúne con la Universidad a Distancia de Madrid (UDIMA) en su ronda de encuentros con las Universidades de Madrid

19.04.2018
El director de la <a href="http://www.madrimasd.org" title="Fundación para el Conocimiento madri+d" alt="Fundación para el Conocimiento madri+d" target="_blank">Fundación para el Conocimiento madri+d</a> se reunió el martes pasado, con el equipo rectoral de <a href="https://www.udima.es/" title="UDIMA" alt="UDIMA" target="_blank">UDIMA</a> en la sede de esta Universidad para tratar temas de interés común en sus áreas de competencia.

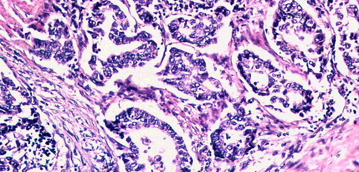
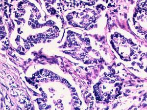
Un estudio vincula los metales del suelo con la mortalidad por cáncer

19.04.2018
Epidemiólogos y geólogos españoles han encontrado asociaciones entre el número de muertes por tumores de esófago y zonas donde abunda el plomo, cánceres de pulmón y terrenos con más cobre, tumor cerebral con arsénico, y de vejiga con cadmio. Estos vínculos estadísticos no indican una relación causa-efecto, pero según los investigadores, se debería analizar la influencia de la composición de los suelos en la distribución geográfica de los tumores.

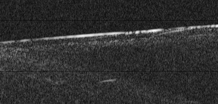
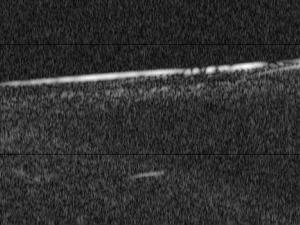
Ecos de radar

18.04.2018
La búsqueda de rastros de hielo en Marte es una labor compleja.

Una combinación de fármacos mejora la supervivencia en cáncer de pulmón

18.04.2018
Investigadores españoles han participado en un ensayo clínico que ha demostrado beneficios en supervivencia global y libre de progresión de una combinación de inmunoterapia y quimioterapia en el tratamiento de pacientes con cáncer de pulmón no microcítico (CPNM), uno de los más frecuentes.