"La comunicación entre la investigación básica y la clínica es compleja" 31.07.2018 Entrevista a Bertie Göttgens. Investigador en el <a href="https://www.stemcells.cam.ac.uk/" title="Cambridge Stem Cell Institute" alt="Cambridge Stem Cell Institute" target="_blank">Cambridge Stem Cell Institute</a> (SCI).
Nueva apuesta de la Fundación madri+d por la divulgación de la ciencia en la Radio 30.07.2018 La <a href="http://www.madrimasd.org" title="Fundación para el Conocimiento madri+d" alt="Fundación para el Conocimiento madri+d">Fundación para el Conocimiento madri+d</a> en su búsqueda de nuevos públicos para acercarlos a la ciencia ha iniciado una nueva andadura de divulgación en la Radio.
"Los lagos de Marte son un refugio para la vida" 30.07.2018 Los organismos han podido evolucionar muchas veces en diversos lugares del Sistema Solar, según los expertos.
Cómo optimizar los convertidores de energía olamotriz 30.07.2018 Los convertidores de energía olamotriz, la que se genera por el movimiento de las olas del mar, no están adaptados al aumento de energía registrado en el último siglo.
Día Mundial contra la Hepatitis: el objetivo es acabar con ella en 2030, ¿habrá vacuna? 30.07.2018 Las consecuencias de las heptitis B y C afectan a 325 millones de personas al año de los que 1,34 millones acaban falleciendo por estas causas.
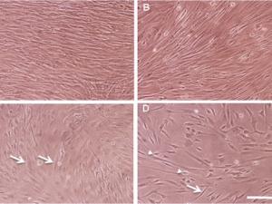
Nuevos pasos para obtener células humanas capaces de restaurar la audición 30.07.2018 Intentan obtener, a partir de fibroblastos humanos, células humanas similares a las células ciliadas con el fin último de que, algún día, puedan llegar a reemplazarlas y devolver la audición.
Identifican un nuevo actor en el daño vascular asociado a la hipertensión 30.07.2018 Identifican la enzima prostaglandina E sintasa microsomal 1 (mPGES-1) como un nuevo mediador implicado en el daño vascular asociado a la hipertensión arterial.
La formación de neuronas depende de un impulso eléctrico 30.07.2018 Una investigación ha descubierto que la formación de nuevas neuronas durante el desarrollo del embrión depende de la actividad eléctrica aplicada por las neuronas progenitoras en el momento de crear una nueva célula cerebral.
Billones de planetas interestelares vagan por el espacio sin orbitar en torno a ninguna estrella 30.07.2018 Se estima que cada estrella que vemos puede tener una media de unos 10 planetas a su alrededor, pero su número palidece en comparación con los planetas que gravitan en soledad.
Encuentran un hueso en Orce que aporta datos sobre la vida hace un millón y medio de años 30.07.2018 Un pequeño hueso de animal hallado en los yacimientos de Orce (Granada), del que apenas existe una docena en el mundo, aportará nuevos datos sobre la vida hace un millón y medio de años y refuerza el papel protagonista de esta cuenca como epicentro de investigación y oportunidades.