Skip to main content
Home
  • ESPAÑOL
  • ENGLISH
Main menu
  • Foundation
    • A place for education, science and innovation
    • Who we are
    • Newsroom
    • Awards madri+d
    • Publications madri+d
    • Contractor Portal
    • Compendio legislativo
    • Formación
    • Hackathon #VenceAlVirus
    • Consulta Previa al Mercado
    • Contacto
  • University Quality Assurance
    • To guarantee the quality of university education in the Community of Madrid
    • About us
    • Evaluation, Acreditation and Verification
    • Evaluación, Acreditación y Verificación de Centros Universitarios
    • Comité de garantías y reclamaciones
    • Buscador de títulos
    • Banco de evaluadores
    • ENQA Evaluation
    • Análisis Temático
    • CUALIFICAM
    • Sello Sofía
    • Buzón de Quejas, Sugerencias y Felicitaciones
  • Entrepreneurs
    • We help you to undertake from science and technology
    • About us
    • Startup Radar madri+d
    • BAN madri+d
    • Madri+d Mentoring Network
    • ESA BIC Madrid Region
    • healthStart madri+d
    • Business Mentor madri+d
    • Studies
    • healthstartPlus
    • Deeptech Madrid
    • Govtechlab Madrid
    • Innodays/Innobares
  • CITT
    • Clústeres público-privados de Innovación Tecnológica y Talento de la Comunidad de Madrid
    • Presentación CITT
    • CITT en Semiconductores
    • CITT en Humanidades Digitales y Tecnologías del Español
    • CITT en Tecnologías Biomédicas y Biotecnología
    • CITT en Tecnologías del Espacio
  • Europe
    • Researching locally to compete globally
    • Presentación
    • Horizonte Europa
    • Marie Sklodowska-Curie Actions
    • European Research Council
    • EIC
    • EEN SCALEUP 2025/2026
    • Enterprise Europe Network
    • Innovación
    • madri+d Foundation Projects
  • Scientific-Culture
    • Promoting scientific culture and innovation in society through active participation
    • Presentación
    • Feria Madrid es Ciencia
    • Día Internacional de las Mujeres y las Niñas en la Ciencia
    • Madrid Science Week
    • European Researchers' Night
    • Red de Laboratorios Ciudadanos
    • Wikipedia madri+d
    • Science & Culture
    • Science & Heritage
  • Impulso SMUCI
    • Oficina de Impulso del Sistema Madrileño de Universidades, Ciencia e Innovación (SMUCI)
    • Presentación Impulso SMUCI
    • UnInMadrid
    • Ciencia de excelencia
    • Unidad de apoyo a estudiantes universitarios e investigadores ucranianos
    • Cátedra del Español y la Hispanidad de las universidades de la Comunidad de Madrid
  • Notiweb
    • El resumen de noticias de I+D+I de referencia en español
    • Portada
    • Noticias
    • Analisis
    • Entrevistas
    • Blogs
    • Agenda
    • Reseñas
    • Magazine
    • Hemeroteca Magazine
    • Mentes Críticas
    • Hemeroteca Mentes Críticas
  • Transparency
    • Transparency portal
    • Institutional information
    • Legal Information
    • Economic and Statistical Information
    • Proteccion de Datos Personales
    • Canal Ético

Secondary breadcrumb

Breadcrumb

  1. Inicio
  2. Noticias
Main menu
Noticias RSS
Un sensor de infrarrojos como nueva herramienta para el descubrimiento de fármacos

Un sensor de infrarrojos como nueva herramienta para el descubrimiento de fármacos

31.08.2018
Los científicos han descubierto un nuevo método para analizar cómo afectan los agentes activos a una proteína específica esencial para la supervivencia celular. Su investigación podría contribuir al desarrollo rápido de fármacos con menos efectos secundarios.
20 años de estudios sobre la evolución de la corteza parietal

20 años de estudios sobre la evolución de la corteza parietal

31.08.2018
Publican un artículo de revisión de casi veinte años de estudios sobre la evolución de los lóbulos parietales en el género humano.
Montaje de imágenes de Júpiter con su luna volcánica Io. / NASA/Johns Hopkins University Applied Physics Laboratory/Southwest Research Institute/Goddard Space Flight Center

Hallan en Júpiter una cantidad de agua "muchas veces superior a la de la Tierra"

31.08.2018
Si hay agua, dicen los investigadores, "la posibilidad de vida no está fuera del alcance de nuestra imaginación".
Además de al cáncer, la exposición al arsénico, plomo, cobre y cadmio, favorece la enfermedad cardíaca

Además de al cáncer, la exposición al arsénico, plomo, cobre y cadmio, favorece la enfermedad cardíaca

31.08.2018
Un estudio advierte sobre un grupo emergente de factores de riesgo con una alta prevalencia en las poblaciones de todo el mundo.
La nebulosa Carina en luz infrarroja. / ESO/J. Emerson/M. Irwin/J. Lewis

Estrellas vs. polvo en la nebulosa Carina

31.08.2018
VISTA explora en el infrarrojo una de las nebulosas más grandes de la Vía Láctea.
La carencia de la Vitamina D reduce la fertilidad y puede provocar abortos espontáneos

La carencia de la Vitamina D reduce la fertilidad y puede provocar abortos espontáneos

31.08.2018
A parte de su función sobre el metabolismo de calcio y la salud ósea, la vitamina D controla varios procesos extraesqueléticos.
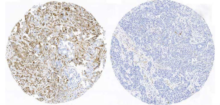
Tejido mamario de una paciente con recaída y que presenta los marcadores de fosforilación activos (izquierda; color marrón intenso), frente al tejido procedente de una paciente sin recaída y que no presenta estos marcadores activos (derecha). /CNIO

Hallan los primeros indicadores de pronóstico para el cáncer de mama más agresivo

30.08.2018
Identifican seis proteínas quinasas cuyo estado funcional predice la evolución del cáncer de mama triple negativo.
El oso cavernario no está completamente extinto

El oso cavernario no está completamente extinto

30.08.2018
Un estudio con participación española, que ha secuenciado el genoma del oso de las cavernas (<em>Ursus spelaeus</em>), revela que parte de su ADN ha sobrevivido en el oso pardo actual.
Hallan un nuevo tipo de neurona en el cerebro humano

Hallan un nuevo tipo de neurona en el cerebro humano

30.08.2018
Sus descubridores la han llamado "de rosa mosqueta" y está repleta de conexiones pero aún no saben para qué sirve.
Un ejemplo de simulación a partir de los datos de la desintegración dos protones de muy alta energía generando un Bosón de Higgs en el decaimiento en dos haces de hadrones y dos electrones en el detector CMS del LHC en el CERN. Las lineas representan las posibles vias de desintegración, mientras que la zona en azul claro representa la energía obtenida en la desintegración de las partículas en el detector. / Lucas Taylor / CERN

¿Es el Bosón de Higgs la puerta hacia una nueva Física?

30.08.2018
Investigadores de los experimentos ATLAS y CMS del Gran Colisionador de Hadrones observan, por primera vez, el proceso de descomposición del Higgs.

Pagination

  • First page « primera
  • Previous page ‹ anterior
  • …
  • Page 1001
  • Page 1002
  • Page 1003
  • Page 1004
  • Current page 1005
  • Page 1006
  • Page 1007
  • Page 1008
  • Page 1009
  • …
  • Next page siguiente ›
  • Last page última »
Resultados del 10041 al 10050 de 13184
  • Foundation
    • Who we are
    • Newsroom
    • Awards madri+d
    • Publications madri+d
    • Contractor Portal
    • Compendio legislativo
    • Formación
    • Hackathon #VenceAlVirus
    • Consulta Previa al Mercado
    • Contacto
  • University Quality Assurance
    • About us
    • Evaluation, Acreditation and Verification
    • Evaluación, Acreditación y Verificación de Centros Universitarios
    • Comité de garantías y reclamaciones
    • Buscador de títulos
    • Banco de evaluadores
    • ENQA Evaluation
    • Análisis Temático
    • CUALIFICAM
    • Sello Sofía
    • Buzón de Quejas, Sugerencias y Felicitaciones
  • Entrepreneurs
    • About us
    • Startup Radar madri+d
    • BAN madri+d
    • Madri+d Mentoring Network
    • ESA BIC Madrid Region
    • healthStart madri+d
    • Business Mentor madri+d
    • Studies
    • healthstartPlus
    • Deeptech Madrid
    • Govtechlab Madrid
    • Innodays/Innobares
  • CITT
    • Presentación CITT
    • CITT en Semiconductores
    • CITT en Humanidades Digitales y Tecnologías del Español
    • CITT en Tecnologías Biomédicas y Biotecnología
    • CITT en Tecnologías del Espacio
  • Europe
    • Presentación
    • Horizonte Europa
    • Marie Sklodowska-Curie Actions
    • European Research Council
    • EIC
    • Enterprise Europe Network
    • EEN SCALEUP 2025/2026
    • Innovación
    • madri+d Foundation Projects
  • Scientific-Culture
    • Presentación
    • Feria Madrid es Ciencia
    • Día Internacional de las Mujeres y las Niñas en la Ciencia
    • Madrid Science Week
    • European Researchers' Night
    • Red de Laboratorios Ciudadanos
    • Wikipedia madri+d
    • Science & Culture
    • Science & Heritage
  • Impulso SMUCI
    • Presentación Impulso SMUCI
    • UnInMadrid
    • Ciencia de excelencia
    • Unidad de apoyo a estudiantes universitarios e investigadores ucranianos
    • Cátedra del Español y la Hispanidad de las universidades de la Comunidad de Madrid
  • Notiweb
    • Portada
    • Noticias
    • Analisis
    • Entrevistas
    • Blogs
    • Agenda
    • Reseñas
    • Magazine
    • Hemeroteca Magazine
    • Mentes Críticas
    • Hemeroteca Mentes Críticas
  • Transparency
    • Institutional information
    • Legal Information
    • Economic and Statistical Information
    • Proteccion de Datos Personales
    • Canal Ético
  • Footer
    • Canal Ético
    • eduroam
    • Mapa Web
    • Política privacidad
    • Política de cookies
    • Aviso legal